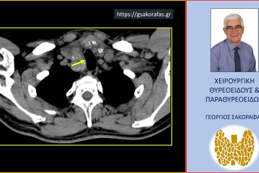
Καταδυόμενη Βρογχοκήλη Βρογχοκήλη καταδυόμενη μέχρι το ύψος του αορτικού τόξου σε ηλικιωμένη Βρογχοκήλη καταδυόμενη μέχρι το ύψος του αορτικού τόξου σε ηλικιωμένη ασθενή μας– αφαίρεση μέσω της…George Sakorafas17 Οκτωβρίου 2024
Βρογχοκήλη Ευμεγέθης βρογχοκήλη με πιεστικά φαινόμενα επί της τραχείας – εικόνες (με αφορμή ασθενή μας) Ευμεγέθης βρογχοκήλη με πιεστικά φαινόμενα επί της τραχείας – εικόνες (με αφορμή ασθενή μας) Παρουσίαση…George Sakorafas16 Οκτωβρίου 2024
Βρογχοκήλη Λίαν ευμεγέθης βρογχοκήλη – εικόνες (με αφορμή ασθενή μας) Λίαν ευμεγέθης βρογχοκήλη – εικόνες Η βρογχοκήλη αποτελεί μια διαταραχή του θυρεοειδούς αδένα, κατά την…George Sakorafas16 Οκτωβρίου 2024
ΘυρεοειδεκτομήΚαταδυόμενη Βρογχοκήλη Θυρεοειδεκτομή – μη αναμενόμενα ευρήματα: πρακτική σημασία (με αφορμή ασθενή μας) Θυρεοειδεκτομή – μη αναμενόμενα ευρήματα: πρακτική σημασία (με αφορμή ασθενή μας) Παρουσίαση ασθενούς Η…George Sakorafas10 Οκτωβρίου 2024
Βρογχοκήλη Γιγάντια τοξική βρογχοκήλη – με αφορμή ασθενή μας Γιγάντια τοξική βρογχοκήλη – με αφορμή ασθενή μας Παρουσίαση ασθενούς H ασθενής ετών 80…George Sakorafas14 Αυγούστου 2024
ΒρογχοκήληΚαταδυόμενη Βρογχοκήλη Ευμεγέθης καταδυόμενη βρογχοκήλη – Εικόνες (σε ασθενή μας) Ευμεγέθης καταδυόμενη βρογχοκήλη – Εικόνες (σε ασθενή μας) Ο ασθενής, ετών 57, προσήλθε για χειρουργική…George Sakorafas14 Αυγούστου 2024
ΘυρεοειδεκτομήΚαταδυόμενη Βρογχοκήληκαταδυόμενος όζος θυρεοειδούς Θυρεοειδεκτομή στερνοτομή και η σημασία της εμπειρίας του χειρουργού Θυρεοειδεκτομή στερνοτομή και η σημασία της εμπειρίας του χειρουργού Εισαγωγή Ο θυρεοειδής αδένας βρίσκεται…George Sakorafas12 Αυγούστου 2024
ΒρογχοκήληΤοξική Βρογχοκήλη Γιγάντια τοξική βρογχοκήλη με πιεστικά φαινόμενα (Εικόνες) Γιγάντια τοξική βρογχοκήλη με πιεστικά φαινόμενα (εικόνες) Η ασθενής, ετών 72, προσήλθε για χειρουργική αντιμετώπιση…George Sakorafas28 Απριλίου 2024
ΒρογχοκήληΚαταδυόμενη Βρογχοκήλη Βαθιά καταδυόμενη βρογχοκήλη – με αφορμή ασθενή μας (Εικόνες) Βαθιά καταδυόμενη βρογχοκήλη – με αφορμή ασθενή μας (Εικόνες) Η ασθενής, ετών 56, προσήλθε για…George Sakorafas11 Απριλίου 2024
ΒρογχοκήληΚαταδυόμενη Βρογχοκήληκαταδυόμενος όζος θυρεοειδούςΌζοι Θυρεοειδούς Καταδυόμενος όζος θυρεοειδούς – Εικόνες (σε ασθενή μας) Καταδυόμενος όζος θυρεοειδούς – Εικόνες (σε ασθενή μας) Ο ασθενής ηλικίας 79 ετών προσήλθε για…George Sakorafas4 Απριλίου 2024
ΒρογχοκήληΌζοι Θυρεοειδούς Θερμός όζος θυρεοειδούς – με αφορμή ασθενή μας Θερμός όζος θυρεοειδούς – με αφορμή ασθενή μας Η ασθενής, ετών 48, προσήλθε για χειρουργική…George Sakorafas4 Απριλίου 2024
ΒρογχοκήληΌζοι Θυρεοειδούς Όζοι θυρεοειδούς και PET scan – με αφορμή υπερήλικα ασθενή μας Όζοι θυρεοειδούς και PET scan – με αφορμή υπερήλικα ασθενή μας Η ασθενής, ετών 81,…George Sakorafas30 Μαρτίου 2024
Καταδυόμενη Βρογχοκήλη Καταδυόμενος όζος θυρεοειδούς – κατάδυση σε βάθος στο ανώτερο μεσοθωράκιο σε ηλικιωμένη ασθενή μας Καταδυόμενος όζος θυρεοειδούς – κατάδυση σε βάθος στο ανώτερο μεσοθωράκιο σε ηλικιωμένη ασθενή μας Η…George Sakorafas23 Μαρτίου 2024
Βρογχοκήλη Οζώδης βρογχοκήλη – αιτιολογία, συμπτώματα, διάγνωση, θεραπεία Οζώδης βρογχοκήλη – αιτιολογία, συμπτώματα, διάγνωση, θεραπεία Ο θυρεοειδής είναι ένας μικρός σε μέγεθος αδένας…George Sakorafas18 Μαρτίου 2024
ΒρογχοκήληΘυρεοειδίτιδα Hashimoto Θυρεοειδίτιδα Χασιμότο και βρογχοκήλη Τι είναι η Θυρεοειδίτιδα Χασιμότο Θυρεοειδίτιδα Χασιμότο και βρογχοκήλη: Πως συνδέονται. Η χρόνια λεμφοκυτταρική θυρεοειδίτιδα,…George Sakorafas17 Μαρτίου 2024
Διάχυτη Τοξική Βρογχοκήλη Θυρεοειδική οφθαλμοπάθεια – με αφορμή ασθενή μας (εικόνα) Θυρεοειδική οφθαλμοπάθεια – με αφορμή ασθενή μας (εικόνα) Η ασθενής ετών 45 προσήλθε για χειρουργική…George Sakorafas5 Μαρτίου 2024
ΒρογχοκήληΠρωτοπαθής Υπερπαραθυρεοειδισμός Συνδυασμένη θυρεοειδεκτομή, παραθυρεοειδεκτομή και προφυλακτικός κεντρικός λεμφαδενικός καθαρισμός τραχήλου – με αφορμή ασθενή μας Συνδυασμένη θυρεοειδεκτομή, παραθυρεοειδεκτομή και προφυλακτικός κεντρικός λεμφαδενικός καθαρισμός τραχήλου – με αφορμή ασθενή μας Ο…George Sakorafas4 Μαρτίου 2024
ΒρογχοκήληΚαταδυόμενη Βρογχοκήληκαταδυόμενος όζος θυρεοειδούςΌζοι Θυρεοειδούς Όζος θυρεοειδούς καταδυόμενος σε βάθος μέχρι κάτωθεν του αορτικού τόξου– αφαίρεση μέσω τραχηλικής τομής σε ασθενή μας Όζος θυρεοειδούς καταδυόμενος σε βάθος μέχρι κάτωθεν του αορτικού τόξου– αφαίρεση μέσω τραχηλικής τομής σε…George Sakorafas22 Φεβρουαρίου 2024
Καταδυόμενη Βρογχοκήλη Ευμεγέθης καταδυόμενη βρογχοκήλη – με αφορμή ασθενή μας (εικόνες) Ευμεγέθης καταδυόμενη βρογχοκήλη – με αφορμή ασθενή μας (εικόνες) Η ασθενής, ετών 60, προσήλθε για…George Sakorafas21 Φεβρουαρίου 2024
ΒρογχοκήληΥπερθυρεοειδισμός Γιγάντια τοξική βρογχοκήλη σε ηλικιωμένο ασθενή μας Γιγάντια τοξική βρογχοκήλη σε ηλικιωμένο ασθενή μας (εικόνα) Ο ασθενής, ετών 76, προσήλθε για χειρουργική…George Sakorafas25 Ιανουαρίου 2024