Χειρουργός Θυρεοειδούς Αδένα
Σακοράφας Γεώργιος, Χειρουργός Ενδοκρινών Αδένων
Υπερθυρεοειδισμός, Βρογχοκήλη, Όζοι Θυρεοειδούς, Καρκίνος Θυρεοειδούς
Συνηθέστερες Παθήσεις Θυρεοειδούς Αδένα
Συνηθέστερες Παθήσεις Παραθυρεοειδών Αδένων
Επεμβάσεις Θυρεοειδούς
Γιατί να επιλέξετε εμάς;
- Γιατί διαθέτουμε πολύ μεγάλη και μακρόχρονη εμπειρία στη χειρουργική των ενδοκρινών αδένων (θυρεοειδούς – παραθυρεοειδών), λόγω μακράς και συστηματικής ενασχόλησης με τις χειρουργικές παθήσεις θυρεοειδούς – παραθυρεοειδών.
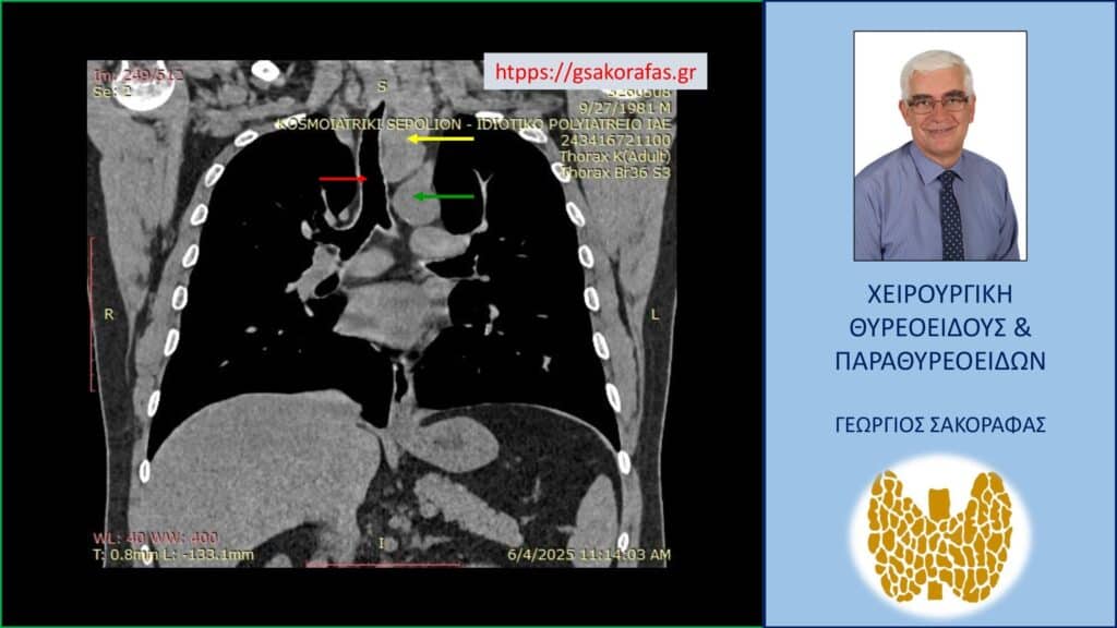
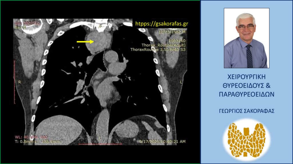
- Γιατί είμαστε σε θέση να εκτελέσουμε με ασφάλεια και αποτελεσματικότητα κάθε είδους χειρουργική επέμβαση θυρεοειδούς – παραθυρεοειδών, ακόμη και σε επιπλεγμένα (δύσκολα) περιστατικά, όπως εκτεταμένοι λεμφαδενικοί καθαρισμοί σε καρκίνο θυρεοειδούς, επεμβάσεις σε λίαν ευμεγέθεις καταδυόμενες στο μεσοθωράκιο βρογχοκήλες, υποτροπές παθήσεων θυρεοειδούς (συμπεριλαμβανομένου του καρκίνου θυρεοειδούς), υποτροπές υπερπαραθυρεοειδισμού, αδενώματα παραθυρεοειδών σε έκτοπη θέση ή λόγω υπεράριθμων παραθυρεοειδών, διάχυτη υπερπλασία παραθυρεοειδών, κλπ.
- Γιατί έχουμε να δείξουμε σταθερή και μακρόχρονη επιστημονική παρουσία, με αρκετές δημοσιεύσεις στη διεθνή βιβλιογραφία πάνω σε θέματα χειρουργικής ενδοκρινών αδένων (θυρεοειδούς – παραθυρεοειδών).
- Γιατί έχουν πλέον δημιουργηθεί καλές και αξιόπιστες συνεργασίες με εξειδικευμένους και έμπειρους συναδέλφους άλλων εμπλεκόμενων ειδικοτήτων (ενδοκρινολόγους, ακτινολόγους, κυτταρολόγους, αναισθησιολόγους, παθολογοανατόμους, πυρηνικούς γιατρούς). Με τις συνεργασίες αυτές επιτυγχάνεται το καλύτερο δυνατό θεραπευτικό αποτέλεσμα, με στόχο πάντα το καλό του ασθενούς που μας εμπιστεύεται. Με την παροχή πολύ υψηλού επιπέδου υπηρεσιών υγείας, σύμφωνα με τα τρέχοντα διεθνή δεδομένα (standards), το πρόβλημα του ασθενούς επιλύεται άμεσα, οριστικά, αποτελεσματικά και με τη μέγιστη δυνατή ασφάλεια.
- Γιατί έχουμε συνεργασία με επιλεγμένα νοσοκομεία που προσφέρουν υψηλού επιπέδου υπηρεσίες υγείας, αξιοπρεπείς συνθήκες νοσηλείας, σε ευχάριστο περιβάλλον, έτσι ώστε το πρόβλημα της υγείας να αντιμετωπιστεί με τον καλύτερο δυνατό τρόπο και σε ένα όσο το δυνατόν πιο φιλικό περιβάλλον.
- Γιατί ο προγραμματισμός της επέμβασης μπορεί να γίνει άμεσα, χωρίς άσκοπες καθυστερήσεις.
- Γιατί κατανοούμε τις δύσκολες οικονομικές συγκυρίες που βιώνει τα τελευταία χρόνια η κοινωνία μας και βοηθάμε έμπρακτα όποιον/όποια ασθενή χρειάζεται βοήθεια από την πλευρά μας.
Συνεργαζομενα Κέντρα
ΕΥΓΕΝΙΔΕΙΟ
Παπαδιαμαντοπούλου 20, 11528 Αθήνα
Τηλ: 210 7487318 – 6977068223
Πρόγραμμα Επεμβάσεων:
Δευτέρα – Τετάρτη – Παρασκευή
ΜΗΤΕΡΑ – ΥΓΕΙΑ
Ερυθρού Σταυρού 6, Μαρούσι, 151 23 Αθήνα
Τηλ: 210 7487318 – 6977068223
Πρόγραμμα Επεμβάσεων:
Τρίτη – Πέμπτη
ΙΑΤΡΙΚΟ ΨΥΧΙΚΟΥ
Άντερσεν 1, Ψυχικό, Αθήνα
Τηλ: 210 7487318 – 6977068223
Πρόγραμμα Επεμβάσεων:
Τρίτη – Πέμπτη
Επιστημονική Ενημέρωση
4181
Θυρεοειδεκτομές
959
Λεμφαδενικοί Καθαρισμοί
588
Παραθυρεοειδεκτομές
Αριθμοί Επεμβάσεων έως 30/6/2025














