Γιγάντια καταδυόμενη βρογχοκήλη – διατραχηλική αφαίρεση (εικόνες, με αφορμή ασθενή μας)
Παρουσίαση ασθενούς
Διάγνωση εισόδου
Γιγάντια καταδυόμενη βρογχοκήλη σε ασθενή ηλικίας 50 ετών
Υπερηχογράφημα
Στο υπερηχογράφημα απεικονίζεται σημαντικού βαθμού αύξηση των διαστάσεων του θυρεοειδούς (βρογχοκήλη) με κατάδυση του κάτω πόλου στο ανώτερο πρόσθιο μεσοθωράκιο και παρουσία πολλαπλών ευμεγέθων όζων (έως 55 χιλ.), διάσπαρτων σε αμφότερους τους λοβούς, που καταλαμβάνουν το μεγαλύτερο μέρος του θυρεοειδούς αδένα.
Δεν απεικονίσθηκαν παθολογικά διογκωμένοι τραχηλικοί λεμφαδένες.

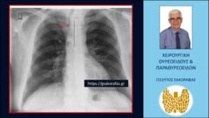
Σημαντική παρεκτόπιση της τραχείας (κόκκινο βέλος) προς τα δεξιά της μέσης γραμμής (μαύρη κάθετη διακεκομμένη γραμμή) από τον διογκωμένο καταδυόμενο αριστερό λοβό του θυρεοειδούς
Λοιπός προεγχειρητικός έλεγχος
Χωρίς παθολογικά ευρήματα. Ασθενής ευθυρεοειδικός.
Χειρουργική επέμβαση
Υποβλήθηκε σε ολική θυρεοειδεκτομή μέσω εγκάρσιας τραχηλικής τομής υπό γενική αναισθησία.
Κατά την επέμβαση επιβεβαιώνονται τα ευρήματα του προεγχειρητικού ελέγχου.
Ο θυρεοειδής αδένας παρουσιάζει πολύ μεγάλου βαθμού αύξηση των διαστάσεών του.
Εξαιρετικά δυσχερής εξέλιξη λόγω των λίαν αυξημένων διαστάσεων του θυρεοειδούς. Σημειώνεται ότι ο άνω πόλος και των δύο λοβών φτάνει μέχρι το επίπεδο της γωνίας της κάτω γνάθου ενώ οι δύο λοβοί καταδύονται και στο μεσοθωράκιο (κυρίως ο αριστερός, που παρουσιάζει τη μεγαλύτερου βαθμού διόγκωση).
Η επέμβαση δυσχεραίνεται επίσης λόγω της αυξημένης αγγείωσης και της παρουσίας λίαν ευμεγέθων και πολλαπλών αγγειακών κλάδων και λόγω της δυσχερούς αποκόλλησης από την τραχεία.
Δεν παρατηρήθηκαν μακροσκοπικά ύποπτοι ή παθολογικοί λεμφαδένες στο κεντρικό διαμέρισμα του τραχήλου.
Σε όλη τη διάρκεια της επέμβασης οπτική αναγνώριση και προστασία των παλίνδρομων λαρυγγικών νεύρων άμφω.
Η επέμβαση εξελίχθηκε ομαλά.
Η γενική αναισθησία και η επέμβαση έγιναν καλά ανεκτές.
Εξήλθε της κλινικής την 1η μετεγχειρητική ημέρα.
Γιγάντια καταδυόμενη βρογχοκήλη. Το μέγεθός του διογκωμένου θυρεοειδούς γίνεται εύκολα αντιληπτό από τη σύγκρισή του με το μέγεθος των χειρών του χειρουργού. Με το κίτρινο περίγραμμα (πάνω δεξιά εικόνα) αποδίδεται το φυσιολογικό μέγεθος του λοβού του θυρεοειδούς.

Γιγάντια καταδυόμενη βρογχοκήλη – χειρουργικό παρασκεύασμα. Εμφανής η μεγάλου βαθμού διόγκωση του θυρεοειδούς (στη σύγκριση με το μέγεθος των χεριών του χειρουργού). Στον πάνω δεξιά εικόνα με το κίτρινο περίγραμμα αποδίδεται το κατ΄ εκτίμηση μέγεθος ενός φυσιολογικού λοβού του θυροειδούς.
Ιστολογική εξέταση
Πολλαπλοί ευμεγέθεις αδενωματώδεις όζοι – εικόνα πολυοζώδους βρογχοκήλης
Σχόλιο
Το θέμα της καταδυόμενης βρογχοκήλης αναλύεται και σε άλλο άρθρο της ιστοσελίδας μας. Στην ιστοσελίδα μας παρουσιάζονται και άλλες ενδιαφέρουσες περιπτώσεις ασθενών με καταδυόμενη βρογχοκήλη.
ΜΑΘΕΤΕ ΠΕΡΙΣΣΟΤΕΡΑ
Επισκεφθείτε την ιστοσελίδα μας (https://www.gsakorafas.gr)
Διαβάστε τα άρθρα μας στο blog μας (https://gsakorafas.gr/blog/)
Ενημερωθείτε πρακτικά και υπεύθυνα στην ιστοσελίδα μας:
Για τις παθήσεις θυρεοειδούς
Για τις παθήσεις παραθυρεοειδών
Τι είναι ο χειρουργός θυρεοειδούς – παραθυρεοειδών?
Τι σημασία έχει η εμπειρία του χειρουργού στην αντιμετώπιση των παθήσεων θυρεοειδούς και παραθυρεοειδών?
ΘΑ ΜΑΣ ΒΡΕΙΤΕ
ΕΥΓΕΝΙΔΕΙΟ-Παπαδιαμαντοπούλου 20 (Ιλίσια)
ΙΑΤΡΙΚΟ ΨΥΧΙΚΟΥ – Άντερσεν 5 (Νέο Ψυχικό)
ΜΗΤΕΡΑ- Ερυθρού Σταυρού 5 (Μαρούσι)
ΤΗΛ. 2107487318 & 6977068223
email: georgesakorafas@yahoo.com
Διαδικασία επεμβάσεων θυρεοειδούς και παραθυρεοειδών
- Ο ασθενής προσέρχεται νηστικός το πρωί της ημέρας της επέμβασης και σύντομα στη συνέχεια ακολουθεί η χειρουργική επέμβαση.
- Δεν υπάρχει χρόνος αναμονής (καθυστέρηση) για την επέμβαση.
- Η τομή είναι η μικρότερη δυνατή για την σωστή αντιμετώπιση του προβλήματος του ασθενούς (ανάλογα με την φύση του προβλήματος).
- Στην επέμβαση χρησιμοποιούνται – ανάλογα με τις ενδείξεις και σύμφωνα με τις οδηγίες των μεγάλων διεθνών επιστημονικών εταιρειών (Αμερικανικών και Ευρωπαϊκών) – όλα τα διαθέσιμα τεχνικά μέσα [κατά περίπτωση], όπως διεγχειρητική νευροπαρακολούθηση (intraoperative neuromonitoring) και οι προηγμένες συσκευές σύγχρονης αιμόστασης (με ραδιοσυχνότητες [radiofrequency] ή υπερήχους) για την όσο το δυνατόν μεγαλύτερη ασφάλεια κατά τη διενέργεια της επέμβασης. Η περίπτωση του κάθε ασθενούς εξετάζεται με ιδιαίτερη προσοχή και η επέμβαση που θα ακολουθήσει επιλέγεται με βάση τόσο τα σύγχρονα βιβλιογραφικά δεδομένα όσο και την μεγάλη εμπειρία που έχει συσσωρευτεί όλα αυτά τα χρόνια στη χειρουργική θυρεοειδούς-παραθυρεοειδών.
- Για τη διασφάλιση του βέλτιστου αισθητικού αποτελέσματος εφαρμόζεται τεχνική πλαστικής αποκατάστασης της χειρουργικής τομής, με χρήση πολύ λεπτού απορροφήσιμου ράμματος και ενδοδερμική ραφή, ενώ επιλέγεται κάποια δερματική πτυχή του τραχήλου για την τομή ώστε αυτή να μην είναι ορατή μετεγχειρητικά.
- Ο μετεγχειρητικός πόνος είναι ελάχιστος και ελέγχεται εύκολα με τα συνήθη απλά αναλγητικά.
- Η επέμβαση ολοκληρώνεται σε διάστημα περίπου 1 – 1.5 ώρας (στις συνήθεις περιπτώσεις) και στη συνέχεια γίνεται η αφύπνιση του ασθενούς που μπορεί να παραμείνει για μικρό διάστημα στην ανάνηψη στο χώρο των χειρουργείων.
- Στη συνέχεια διακομίζεται στο θάλαμο, όπου κινητοποιείται πολύ σύντομα (μετά από 1-2 ώρες).
- Το απόγευμα της ημέρας της επέμβασης γίνεται διακοπή της ενδοφλέβιας χορήγησης ορών και το βράδυ της ημέρας της επέμβασης αρχίζει η χορήγηση υγρών και ελαφράς τροφής από το στόμα.
- Την επομένη της επέμβασης ο ασθενής εξέρχεται της κλινικής και επιστρέφει στις συνήθεις του καθημερινές δραστηριότητες.
- Είναι σε θέση να επανέλθει στα επαγγελματικά του καθήκοντα μετά από 3-4 ημέρες (δικαιούται πάντως αναρρωτικής άδειας μετεγχειρητικά, αν το επιθυμεί).
- Με το εξιτήριο ο ασθενής λαμβάνει τις απαραίτητες οδηγίες και την αγωγή που ενδείκνυται, η οποία μπορεί να τροποποιηθεί όταν είναι διαθέσιμη η ιστολογική εξέταση. Χορηγείται επίσης ένα λεπτομερές αναλυτικό ενημερωτικό σημείωμα, στο οποίο περιγράφονται τα δεδομένα του προεγχειρητικού ελέγχου, τα διεγχειρητικά ευρήματα και η χειρουργική επέμβαση (πρακτικό επέμβασης).
- Η ιστολογική εξέταση (από έμπειρους επιλεγμένους παθολογοανατόμους) είναι διαθέσιμη σε πολύ μικρό χρόνο μετά την επέμβαση, αποφεύγοντας έτσι άσκοπες καθυστερήσεις και την αγωνία της αναμονής. Με την γρήγορη διαθεσιμότητα της ιστολογικής δεν καθυστερεί η περαιτέρω εφαρμογή αγωγής μετά την επέμβαση
- Καθώς για τη συρραφή του χειρουργικού τραύματος γίνεται πλαστική με χρήση απορροφήσιμου ράμματος, δεν χρειάζεται να επανέλθει ο ασθενής για κοπή .ραμμάτων.
- Η νοσηλεία γίνεται στα επιλεγμένα νοσοκομεία με τα οποία υπάρχει συνεργασία, με στόχο τη διασφάλιση των καλύτερων συνθηκών νοσηλείας και της αξιοπρέπειας του ασθενούς. Η νοσηλεία γίνεται σε προσεγμένους θαλάμους, σε ευχάριστο και φιλικό προς τον ασθενή και τους συνοδούς του περιβάλλον, διασφαλίζοντας με μεγάλη προσοχή και ευαισθησία την ικανοποίηση του ασθενούς σε όλη την πορεία, από τη διάγνωση της νόσου μέχρι την οριστική και βέλτιστη αντιμετώπισή της. Καταβάλλουμε ιδιαίτερη μέριμνα ώστε η νοσηλεία του ασθενούς να είναι όσο το δυνατόν περισσότερο ποιοτική και να καλύπτει πλήρως κάθε ανάγκη του.
- Για οποιαδήποτε πληροφορία ή ενημέρωση απαιτηθεί μετά την επέμβαση υπάρχει η δυνατότητα επικοινωνίας ανά πάσα στιγμή στο τηλέφωνο 6977068223 και στο email: georgesakorafas@yahoo.com
καταδυόμενη βρογχοκήλη καταδυόμενη βρογχοκήλη καταδυόμενη βρογχοκήλη καταδυόμενη βρογχοκήλη καταδυόμενη βρογχοκήλη
καταδυόμενη βρογχοκήλη καταδυόμενη βρογχοκήλη καταδυόμενη βρογχοκήλη καταδυόμενη βρογχοκήλη καταδυόμενη βρογχοκήλη