Καταδυόμενη βρογχοκήλη – εικόνες (με αφορμή ασθενή μας)
Παρουσίαση ασθενούς
Αιτία εισόδου
Η ασθενής, ετών 49, προσήλθε για χειρουργική αντιμετώπιση πολυοζώδους καταδυόμενης βρογχοκήλης.
Προεγχειρητικός έλεγχος
Υπερηχογράφημα
Στο υπερηχογράφημα θυρεοειδούς – τραχήλου περιγράφεται σημαντικού βαθμού διόγκωση του αριστερού λοβού με παρουσία σε αυτόν ευμεγέθους όζου με διαστάσεις 80 x 50 x 38 mm. Ο όζος καταλαμβάνει εξ ολοκλήρου τον αριστερό λοβό που καταδύεται στο μεσοθωράκιο. Ο δεξιός λοβός παρουσιάζει φυσιολογικές διαστάσεις με παρουσία πολλαπλών όζων διαμέτρου έως 12 mm. Όλοι οι όζοι έχουν καλοήθεις ηχομορφολογικούς χαρακτήρες. Εικόνα συμβατή με πολυοζώδη καταδυόμενη βρογχοκήλη.
Δεν απεικονίσθηκαν παθολογικά διογκωμένοι τραχηλικοί λεμφαδένες ούτε παθολογικά ευρήματα στην ανατομική θέση των παραθυρεοειδών.
Αξονική τομογραφία
Στην αξονική τομογραφία περιγράφεται επίσης ο ως άνω ευμεγέθης όζος του θυρεοειδούς με διαστάσεις μεγαλύτερες σε σχέση με το υπερηχογράφημα (82 x 64 x 42 mm). Ο αριστερός λοβός καταδύεται σε βάθος στο μεσοθωράκιο, αριστερά παρατραχειακά, με το κάτω όριό του να φθάνει μέχρι την έκφυση της αριστερής κοινής καρωτίδας και της ανωνύμου αρτηρίας από το αορτικό τόξο, ευρισκόμενος ακριβώς μεταξύ αυτών. Προκαλεί παρεκτόπιση της τραχείας και του οισοφάγου προς τα δεξιά. Και στην αξονική τομογραφία δεν περιγράφονται παθολογικά διογκωμένοι τραχηλικοί λεμφαδένες.

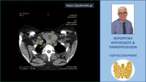
Αξονική τομογραφία – εγκάρσια διατομή στο ύψος του τραχήλου. Ο ευμεγέθης όζος (κίτρινος αστερίσκος) που απωθεί την τραχεία προς τα αριστερά (κίτρινο βέλος).

Αξονική τομογραφία και πάλι στο ύψος του τραχήλου αλλά σε χαμηλότερο επίπεδο. Κίτρινος αστερίσκος – ο ευμεγέθης όζος, κίτρινο βέλος – η τραχεία και πάλι απωθούμενη προς τα δεξιά.

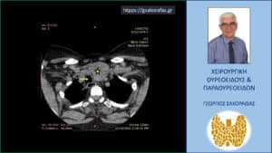
Αξονική τομογραφία – εγκάρσια διατομή σε ακόμη χαμηλότερο επίπεδο. Απεικονίζεται ο ευμεγέθης καταδυόμενος όζος (κίτρινος αστερίσκος) και η απώθηση προς τα δεξιά της τραχείας (κίτρινο βέλος) και του οισοφάγου (πράσινο βέλος).

Καταδυόμενη βρογχοκήλη – αξονική τομογραφία σε κατά μέτωπο διατομή. Απεικονίζεται ο ευμεγέθης όζος (κίτρινος αστερίσκος) σε θέση κατάδυσης στο ανώτερο μεσοθωράκιο φθάνοντας στις παρυφές του αορτικού τόξου (κόκκινο βέλος) ανάμεσα από την έκφυση της ανωνύμου αρτηρίας και της αριστερής υποκλειδίου αρτηρίας, απωθώντας προς τα δεξιά την τραχεία (κίτρινο βέλος).

Αξονική τομογραφία – κατά μέτωπο διατομή σε άλλο επίπεδο. Ευρήματα ανάλογα με αυτά που περιγράφονται στην προηγούμενη εικόνα (κίτρινος αστερίσκος ο καταδυόμενος όζος, κόκκινο βέλος το αορτικό τόξο, κίτρινο βέλος η τραχεία).
Παρακέντηση με λεπτή βελόνη (FNA) – κυτταρολογική
Η ασθενής προσκομίζει κυτταρολογική εξέταση μετά παρακέντηση του ευμεγέθους όζου με λεπτή βελόνη όπου ο όζος ταυτοποιήθηκε ως Bethesda IV. Τα κυτταρολογικά ευρήματα συνηγορούν υπέρ οξύφιλου τύπου αλλοίωσης.
Χειρουργική επέμβαση
Υποβλήθηκε σε ολική θυρεοειδεκτομή (με συναφαίρεση μικρού πυραμοειδούς λοβού) μέσω εγκάρσιας τραχηλικής τομής υπό γενική αναισθησία. Κατά την επέμβαση επιβεβαιώθηκαν τα ευρήματα του προεγχειρητικού ελέγχου.
Η επέμβαση εξελίχθηκε με εξαιρετικά μεγάλου βαθμού δυσκολία λόγω των λίαν αυξημένων διαστάσεων του αριστερού λοβού, της κατάδυσής του στο μεσοθωράκιο, του σωματότυπου της ασθενούς (βαθύς και βραχύς τράχηλος – παχυσαρκία) και της δυσχερούς αποκόλλησης από την τραχεία.
Δεν παρατηρήθηκαν μακροσκοπικά ύποπτοι ή παθολογικοί λεμφαδένες στο κεντρικό διαμέρισμα.
Η επέμβαση εξελίχθηκε ομαλά.
Η γενική αναισθησία και η επέμβαση έγιναν καλά ανεκτές – ανάνηψη ομαλή.
Εξήλθε της κλινικής την 1η μετεγχειρητική ημέρα.
Ιστολογική εξέταση
Θυρεοειδής αδένας με παρουσία ευμεγέθους, αδενωματώδους, μεταπλαστικού όζου μεγίστης διαμέτρου 8 cm στον αριστερό λοβό, χωρίς στοιχεία ατυπίας ή διηθητική συμπεριφορά. Τρεις αδενωματώδεις όζοι διαμέτρου έως 12 χιλ. στον δεξιό λοβό.
Σχόλιο
Στις καταδυόμενες βρογχοκήλες επιβάλλεται προσεκτικός προεγχειρητικός έλεγχος για να αξιολογηθεί η (έστω μικρή, αλλά πάντα υπαρκτή) πιθανότητα να απαιτηθεί στερνοτομή.
Η χειρουργική αντιμετώπιση της καταδυόμενης βρογχοκήλης μπορεί να είναι τεχνικά δύσκολη.
Μπορεί να γίνει ακόμη δυσκολότερη όταν υπάρχουν και άλλες παράμετροι, όπως «δύσκολος» σωματότυπος (όπως στην ασθενή μας, π.χ. παχυσαρκία, βραχύς και βαθύς τράχηλος κλπ.) ή λήψη αντιπηκτικών κλπ.
Η αντιμετώπιση των ασθενών με καταδυόμενη βρογχοκήλη θα πρέπει να επιχειρείται κατά προτίμηση από εξειδικευμένο χειρουργό θυρεοειδούς και παραθυρεοειδών.
Για περισσότερες πληροφορίες σχετικά με την καταδυόμενη βρογχοκήλη – καταδυόμενο όζο θυρεοειδούς πατήστε εδώ.
ΜΑΘΕΤΕ ΠΕΡΙΣΣΟΤΕΡΑ
Επισκεφθείτε την ιστοσελίδα μας (https://www.gsakorafas.gr)
Διαβάστε τα άρθρα μας στο blog μας (https://gsakorafas.gr/blog/)
Ενημερωθείτε πρακτικά και υπεύθυνα στην ιστοσελίδα μας:
Για τις παθήσεις θυρεοειδούς
Για τις παθήσεις παραθυρεοειδών
Τι είναι ο χειρουργός θυρεοειδούς – παραθυρεοειδών?
Τι σημασία έχει η εμπειρία του χειρουργού στην αντιμετώπιση των παθήσεων θυρεοειδούς και παραθυρεοειδών?
ΘΑ ΜΑΣ ΒΡΕΙΤΕ
ΕΥΓΕΝΙΔΕΙΟ-Παπαδιαμαντοπούλου 20 (Ιλίσια)
ΙΑΤΡΙΚΟ ΨΥΧΙΚΟΥ – Άντερσεν 5 (Νέο Ψυχικό)
ΜΗΤΕΡΑ- Ερυθρού Σταυρού 5 (Μαρούσι)
ΤΗΛ. 2107487318 & 6977068223
email: georgesakorafas@yahoo.com
ΛΕΖΑΝΤΕΣ ΕΙΚΟΝΩΝ
1
Αξονική τομογραφία – εγκάρσια διατομή στο ύψος του τραχήλου. Ο ευμεγέθης όζος (κίτρινος αστερίσκος) που απωθεί την τραχεία προς τα αριστερά (κίτρινο βέλος).
2
Αξονική τομογραφία και πάλι στο ύψος του τραχήλου αλλά σε χαμηλότερο επίπεδο. Κίτρινος αστερίσκος – ο ευμεγέθης όζος, κίτρινο βέλος – η τραχεία και πάλι απωθούμενη προς τα δεξιά.
3
Αξονική τομογραφία – εγκάρσια διατομή σε ακόμη χαμηλότερο επίπεδο. Απεικονίζεται ο ευμεγέθης καταδυόμενος όζος (κίτρινος αστερίσκος) και η απώθηση προς τα δεξιά της τραχείας (κίτρινο βέλος) και του οισοφάγου (πράσινο βέλος).
4.
Καταδυόμενη βρογχοκήλη – αξονική τομογραφία σε κατά μέτωπο διατομή. Απεικονίζεται ο ευμεγέθης όζος (κίτρινος αστερίσκος) σε θέση κατάδυσης στο ανώτερο μεσοθωράκιο φθάνοντας στις παρυφές του αορτικού τόξου (κόκκινο βέλος) ανάμεσα από την έκφυση της ανωνύμου αρτηρίας και της αριστερής υποκλειδίου αρτηρίας, απωθώντας προς τα δεξιά την τραχεία (κίτρινο βέλος).
5.
Αξονική τομογραφία – κατά μέτωπο διατομή σε άλλο επίπεδο. Ευρήματα ανάλογα με αυτά που περιγράφονται στην προηγούμενη εικόνα (κίτρινος αστερίσκος ο καταδυόμενος όζος, κόκκινο βέλος το αορτικό τόξο, κίτρινο βέλος η τραχεία).
Καταδυόμενη βρογχοκήλη Καταδυόμενη βρογχοκήλη Καταδυόμενη βρογχοκήλη Καταδυόμενη βρογχοκήλη
Καταδυόμενη βρογχοκήλη Καταδυόμενη βρογχοκήλη Καταδυόμενη βρογχοκήλη Καταδυόμενη βρογχοκήλη
Καταδυόμενη βρογχοκήλη Καταδυόμενη βρογχοκήλη Καταδυόμενη βρογχοκήλη Καταδυόμενη βρογχοκήλη