Ευμεγέθης καταδυόμενη βρογχοκήλη – εικόνες (με αφορμή ασθενή μας)
Παρουσίαση ασθενούς
Αιτία εισόδου
Πολυοζώδης καταδυόμενη βρογχοκήλη
Προεγχειρητικός έλεγχος
Υπερηχογράφημα
Στο υπερηχογράφημα απεικονίστηκε σημαντική διόγκωση αμφοτέρων των λοβών του θυρεοειδούς.
Ο αριστερός λοβός καταδύεται στο ανώτερο μεσοθωράκιο φτάνοντας σε απόσταση 15 χιλ.. από τις παρυφές του αορτικού τόξου (καταδυόμενη βρογχοκήλη).
Συνυπάρχει επιμήκης πυραμοειδής λοβός.
Ο δεξιός λοβός καταλαμβάνεται σχεδόν εξ ολοκλήρου από ευμεγέθη όζο μεγίστης διαμέτρου 54,8 mm.
Αντίστοιχα προς το κάτω ήμισυ και το καταδυόμενο τμήμα του αριστερού λοβού παρατηρείται όζος μεγίστης διαμέτρου 45 χιλιοστών.
Στα όρια ισθμού – αριστερού λοβού απεικονίζεται όζος 10 χιλ. Στο δεξιό σκέλος του ισθμού παρατηρείται οζίδιο 4,9 χιλ.
Όλοι οι ως άνω όζοι έχουν καλοήθεις ηχομορφολογικούς χαρακτήρες.
Χαρτογράφηση λεμφαδένων τραχήλου σε εξειδικευμένο εργαστήριο υπερήχων αρνητική για ύποπτους ή παθολογικούς λεμφαδένες σε όλα τα ανατομικά διαμερίσματα του τραχήλου.
Αξονική τομογραφία
Για την αξιολόγηση του βάθους κατάδυσης του θυρεοειδούς στο μεσοθωράκιο ο ασθενής υποβλήθηκε σε αξονική τομογραφία όπου ο αριστερός λοβός απεικονίζεται σε θέση κατάδυσης μεταξύ της έκφυσης της αριστερής κοινής καρωτίδας και της ανωνύμου αρτηρίας φτάνοντας εγγύς του άνω ορίου του αορτικού τόξου. Ασθενής ευθυρεοειδικός.

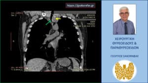
Ευμεγέθης καταδυόμενη βρογχοκήλη – απεικόνιση στην αξονική τομογραφία (σε κατά μέτωπο διατομή). Ο καταδυόμενος αριστερός λοβός του θυρεοειδούς (κίτρινο βέλος) φθάνει εγγύς στο αορτικό τόξο και απωθεί την τραχεία προς τα δεξιά (πράσινο βέλος) προκαλώντας στένωση του αυλού της.

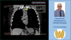
Απεικόνιση στην αξονική τομογραφία σε κατά μέτωπο διατομή (σε άλλο επίπεδο) όπου ο καταδυόμενος αριστερός λοβός του θυρεοειδούς (κίτρινο βέλος) φαίνεται να βρίσκεται μεταξύ της έκφυσης της αριστερής κοινής καρωτίδας και της ανωνύμου αρτηρίας από το αορτικό τόξο (ΑΟ).

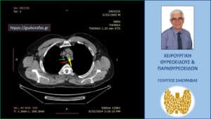
Αξονική τομογραφία – εγκάρσια διατομή στο ύψος περίπου των στερνοκλειδικών αρθρώσεων. Ο καταδυόμενος αριστερός λοβός (κίτρινο βέλος) απωθεί την τραχεία (πράσινο βέλος) προς τα δεξιά.

Αξονική τομογραφία – εγκάρσια διατομή σε χαμηλότερο επίπεδο σε σχέση με την προηγούμενη εικόνα. Ανάλογα ευρήματα.

Αξονική τομογραφία – απεικόνιση σε εγκάρσια διατομή σε ένα αρκετά χαμηλό επίπεδο στον θώρακα. Το χαμηλότερο σημείο του καταδυόμενου αριστερού λοβού (κίτρινο βέλος) και η σχέση του με την τραχεία (πράσινο βέλος) και τον οισοφάγο (κόκκινο βέλος).
Χειρουργική επέμβαση
Υποβλήθηκε σε ολική θυρεοειδεκτομή μέσω εγκάρσιας τραχηλικής τομής υπό γενική αναισθησία.
Κατά την επέμβαση επιβεβαιώθηκαν τα ευρήματα του προεγχειρητικού ελέγχου.
Έγινε κινητοποίηση και εκτομή αρχικά του δεξιού και στη συνέχεια του αριστερού λοβού (με συναφαίρεση επιμήκους πυραμοειδούς λοβού μέχρι το ύψος του υοειδούς οστού), μετά αποκόλληση από την τραχεία και απολίνωση των θυρεοειδικών αγγείων.
Λίαν δυσχερής εξέλιξη λόγω των αυξημένων διαστάσεων των θυρεοειδούς, της κατάδυσης του αριστερού λοβού σε βάθος στο μεσοθωράκιο και της δυσχερούς αποκόλλησης από την τραχεία.
Δεν παρατηρήθηκαν μακροσκοπικά ύποπτοι ή παθολογικοί λεμφαδένες στο κεντρικό διαμέρισμα του τραχήλου.
Αιμόσταση (έγινε χρήση Surgicel) – πλύσεις – τοποθέτηση παροχέτευσης κενού (Redon #10) – σύγκλειση τομής με πλαστική ενδοδερμική ραφή.

Χειρουργικό παρασκεύασμα – δεξιός λοβός, αριστερός λοβός, πυραμοειδής λοβός. Ο δεξιός λοβός βρίσκονταν στον τράχηλο, ενώ ο αριστερός σε χαμηλότερο επίπεδο, σε θέση κατάδυσης στο μεσοθωράκιο.
Σε όλη τη διάρκεια της επέμβασης αναγνώριση (οπτική και με νευροδιεγέρτη) και προστασία των παλίνδρομων λαρυγγικών νεύρων άμφω.
Η επέμβαση εξελίχθηκε ομαλά.
Μετεγχειρητική πορεία
Η γενική αναισθησία και η επέμβαση έγιναν καλά ανεκτές – ανάνηψη ομαλή.
Εξήλθε της κλινικής την 1η μετεγχειρητική ημέρα.
Σχόλιο
Η καταδυόμενη βρογχοκήλη έχει παρουσιασθεί σε άλλο άρθρο στην ιστοσελίδα μας (βλ. εδώ).
Η αντιμετώπισή της παρουσιάζει τεχνικές δυσκολίες και για τον λόγο αυτό θα πρέπει να επιχειρείται κατά προτίμηση από εξειδικευμένο και έμπειρο χειρουργό θυρεοειδούς.
ΜΑΘΕΤΕ ΠΕΡΙΣΣΟΤΕΡΑ
Επισκεφθείτε την ιστοσελίδα μας (https://www.gsakorafas.gr)
Διαβάστε τα άρθρα μας στο blog μας (https://gsakorafas.gr/blog/)
Ενημερωθείτε πρακτικά και υπεύθυνα στην ιστοσελίδα μας:
Για τις παθήσεις θυρεοειδούς
Για τις παθήσεις παραθυρεοειδών
Τι είναι ο χειρουργός θυρεοειδούς – παραθυρεοειδών?
Τι σημασία έχει η εμπειρία του χειρουργού στην αντιμετώπιση των παθήσεων θυρεοειδούς και παραθυρεοειδών?
ΘΑ ΜΑΣ ΒΡΕΙΤΕ
ΕΥΓΕΝΙΔΕΙΟ-Παπαδιαμαντοπούλου 20 (Ιλίσια)
ΙΑΤΡΙΚΟ ΨΥΧΙΚΟΥ – Άντερσεν 5 (Νέο Ψυχικό)
ΜΗΤΕΡΑ- Ερυθρού Σταυρού 5 (Μαρούσι)
ΤΗΛ. 2107487318 & 6977068223
email: georgesakorafas@yahoo.com
Διαδικασία επεμβάσεων θυρεοειδούς και παραθυρεοειδών
- Ο ασθενής προσέρχεται νηστικός το πρωί της ημέρας της επέμβασης και σύντομα στη συνέχεια ακολουθεί η χειρουργική επέμβαση.
- Δεν υπάρχει χρόνος αναμονής (καθυστέρηση) για την επέμβαση.
- Η τομή είναι η μικρότερη δυνατή για την σωστή αντιμετώπιση του προβλήματος του ασθενούς (ανάλογα με την φύση του προβλήματος).
- Στην επέμβαση χρησιμοποιούνται – ανάλογα με τις ενδείξεις και σύμφωνα με τις οδηγίες των μεγάλων διεθνών επιστημονικών εταιρειών (Αμερικανικών και Ευρωπαϊκών) – όλα τα διαθέσιμα τεχνικά μέσα [κατά περίπτωση], όπως διεγχειρητική νευροπαρακολούθηση (intraoperative neuromonitoring) και οι προηγμένες συσκευές σύγχρονης αιμόστασης (με ραδιοσυχνότητες [radiofrequency] ή υπερήχους) για την όσο το δυνατόν μεγαλύτερη ασφάλεια κατά τη διενέργεια της επέμβασης. Η περίπτωση του κάθε ασθενούς εξετάζεται με ιδιαίτερη προσοχή και η επέμβαση που θα ακολουθήσει επιλέγεται με βάση τόσο τα σύγχρονα βιβλιογραφικά δεδομένα όσο και την μεγάλη εμπειρία που έχει συσσωρευτεί όλα αυτά τα χρόνια στη χειρουργική θυρεοειδούς-παραθυρεοειδών.
- Για τη διασφάλιση του βέλτιστου αισθητικού αποτελέσματος εφαρμόζεται τεχνική πλαστικής αποκατάστασης της χειρουργικής τομής, με χρήση πολύ λεπτού απορροφήσιμου ράμματος και ενδοδερμική ραφή, ενώ επιλέγεται κάποια δερματική πτυχή του τραχήλου για την τομή ώστε αυτή να μην είναι ορατή μετεγχειρητικά.
- Ο μετεγχειρητικός πόνος είναι ελάχιστος και ελέγχεται εύκολα με τα συνήθη απλά αναλγητικά.
- Η επέμβαση ολοκληρώνεται σε διάστημα περίπου 1 – 1.5 ώρας (στις συνήθεις περιπτώσεις) και στη συνέχεια γίνεται η αφύπνιση του ασθενούς που μπορεί να παραμείνει για μικρό διάστημα στην ανάνηψη στο χώρο των χειρουργείων.
- Στη συνέχεια διακομίζεται στο θάλαμο, όπου κινητοποιείται πολύ σύντομα (μετά από 1-2 ώρες).
- Το απόγευμα της ημέρας της επέμβασης γίνεται διακοπή της ενδοφλέβιας χορήγησης ορών και το βράδυ της ημέρας της επέμβασης αρχίζει η χορήγηση υγρών και ελαφράς τροφής από το στόμα.
- Την επομένη της επέμβασης ο ασθενής εξέρχεται της κλινικής και επιστρέφει στις συνήθεις του καθημερινές δραστηριότητες.
- Είναι σε θέση να επανέλθει στα επαγγελματικά του καθήκοντα μετά από 3-4 ημέρες (δικαιούται πάντως αναρρωτικής άδειας μετεγχειρητικά, αν το επιθυμεί).
- Με το εξιτήριο ο ασθενής λαμβάνει τις απαραίτητες οδηγίες και την αγωγή που ενδείκνυται, η οποία μπορεί να τροποποιηθεί όταν είναι διαθέσιμη η ιστολογική εξέταση. Χορηγείται επίσης ένα λεπτομερές αναλυτικό ενημερωτικό σημείωμα, στο οποίο περιγράφονται τα δεδομένα του προεγχειρητικού ελέγχου, τα διεγχειρητικά ευρήματα και η χειρουργική επέμβαση (πρακτικό επέμβασης).
- Η ιστολογική εξέταση (από έμπειρους επιλεγμένους παθολογοανατόμους) είναι διαθέσιμη σε πολύ μικρό χρόνο μετά την επέμβαση, αποφεύγοντας έτσι άσκοπες καθυστερήσεις και την αγωνία της αναμονής. Με την γρήγορη διαθεσιμότητα της ιστολογικής δεν καθυστερεί η περαιτέρω εφαρμογή αγωγής μετά την επέμβαση
- Καθώς για τη συρραφή του χειρουργικού τραύματος γίνεται πλαστική με χρήση απορροφήσιμου ράμματος, δεν χρειάζεται να επανέλθει ο ασθενής για κοπή .ραμμάτων.
- Η νοσηλεία γίνεται στα επιλεγμένα νοσοκομεία με τα οποία υπάρχει συνεργασία, με στόχο τη διασφάλιση των καλύτερων συνθηκών νοσηλείας και της αξιοπρέπειας του ασθενούς. Η νοσηλεία γίνεται σε προσεγμένους θαλάμους, σε ευχάριστο και φιλικό προς τον ασθενή και τους συνοδούς του περιβάλλον, διασφαλίζοντας με μεγάλη προσοχή και ευαισθησία την ικανοποίηση του ασθενούς σε όλη την πορεία, από τη διάγνωση της νόσου μέχρι την οριστική και βέλτιστη αντιμετώπισή της. Καταβάλλουμε ιδιαίτερη μέριμνα ώστε η νοσηλεία του ασθενούς να είναι όσο το δυνατόν περισσότερο ποιοτική και να καλύπτει πλήρως κάθε ανάγκη του.
- Για οποιαδήποτε πληροφορία ή ενημέρωση απαιτηθεί μετά την επέμβαση υπάρχει η δυνατότητα επικοινωνίας ανά πάσα στιγμή στο τηλέφωνο 6977068223 και στο email: georgesakorafas@yahoo.com
ευμεγέθης καταδυόμενη βρογχοκήλη ευμεγέθης καταδυόμενη βρογχοκήλη ευμεγέθης καταδυόμενη βρογχοκήλη
ευμεγέθης καταδυόμενη βρογχοκήλη ευμεγέθης καταδυόμενη βρογχοκήλη ευμεγέθης καταδυόμενη βρογχοκήλη
ευμεγέθης καταδυόμενη βρογχοκήλη ευμεγέθης καταδυόμενη βρογχοκήλη ευμεγέθης καταδυόμενη βρογχοκήλη
ευμεγέθης καταδυόμενη βρογχοκήλη ευμεγέθης καταδυόμενη βρογχοκήλη ευμεγέθης καταδυόμενη βρογχοκήλη
ευμεγέθης καταδυόμενη βρογχοκήλη ευμεγέθης καταδυόμενη βρογχοκήλη ευμεγέθης καταδυόμενη βρογχοκήλη
ευμεγέθης καταδυόμενη βρογχοκήλη ευμεγέθης καταδυόμενη βρογχοκήλη ευμεγέθης καταδυόμενη βρογχοκήλη