Γιγάντια καταδυόμενη βρογχοκήλη σε ασθενή με «δύσκολο» τράχηλο και βαθιά κατάδυση (μέχρι το αορτικό τόξο) – διατραχηλική εκτομή (χωρίς στερνοτομή) με ταυτόχρονη παραθυρεοειδεκτομή για τυχαία διαγνωσθέν αδένωμα παραθυρεοειδούς
Παρουσίαση ασθενούς
Αιτία εισόδου
Ο ασθενής ετών 69 προσήλθε για χειρουργική αντιμετώπιση λίαν ευμεγέθους καταδυόμενης βρογχοκήλης.
Προεγχειρητικός έλεγχος
Υπερηχογράφημα
Στο υπερηχογράφημα σε εξειδικευμένο εργαστήριο υπερήχων απεικονίσθηκε σημαντικού βαθμού αύξηση των διαστάσεων αμφοτέρων των λοβών του θυρεοειδούς, και περισσότερο του αριστερού, που καταδύεται στο ανώτερο πρόσθιο μεσοθωράκιο (καταδυόμενη βρογχοκήλη). Μεγάλο μέρος του δεξιού λοβού καταλαμβάνεται από ευμέγεθες οζώδες σύμπλεγμα, αποτελούμενο από πολλούς μικρότερους επιμέρους όζους, ενώ στον αριστερό λοβό εντοπίζεται ευμεγέθης όζος με διαστάσεις 69 χ 41 χιλ. Δεν απεικονίσθηκαν ύποπτοι ή παθολογικοί λεμφαδένες σε όλα τα ανατομικά διαμερίσματα του τραχήλου.
Αξονική τομογραφία
Ανάλογα ευρήματα περιγράφονται και στην αξονική τομογραφία, όπου επιβεβαιώνεται η σημαντικού βαθμού αύξηση των διαστάσεων του θυρεοειδούς, η κατάδυση στο μεσοθωράκιο του αριστερού λοβού και η παρεκτόπιση της τραχείας προς τα δεξιά. Ο καταδυόμενος αριστερός λοβός φθάνει σε βάθος μέχρι το ύψος του αορτικού τόξου, ανάμεσα από την έκφυση της ανωνύμου και της δεξιάς κοινής καρωτίδας.

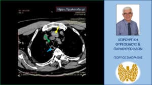
Γιγάντια καταδυόμενη βρογχοκήλη σε ασθενή με «δύσκολο» τράχηλο και βαθιά κατάδυση (μέχρι το αορτικό τόξο) – διατραχηλική εκτομή (χωρίς στερνοτομή) με ταυτόχρονη παραθυρεοειδεκτομή για τυχαία διαγνωσθέν αδένωμα παραθυρεοειδούς. Αξονική τομογραφία – εικόνα σε κατά μέτωπο διατομή: Ο καταδυόμενος αριστερός λοβός (κόκκινος αστερίσκος) εκτείνεται σε βάθος στο μεσοθωράκιο φθάνοντας στο άνω όριο του αορτικού τόξου (ΑΟ) μεταξύ της έκφυσης της ανωνύμου αρτηρίας (κόκκινο βέλος) και της αριστεράς κοινής καρωτίδας (πράσινο βέλος).

Αξονική τομογραφία – κατά μέτωπο διατομή , σε άλλο επίπεδο. Η εγγύτητα του καταδυόμενου αριστερού λοβού (κόκκινος αστερίσκος) με το αορτικό τόξο (ΑΟ) είναι εμφανής.

Αξονική τομογραφία – εγκάρσια διατομή στο ύψος του τραχήλου. Απεικονίζονται οι δύο διογκωμένοι λοβοί του θυρεοειδούς, αριστερός (κόκκινο βέλος) και δεξιός (κίτρινο βέλος). Εμφανής η απώθηση της τραχείας (πράσινο βέλος) προς τα δεξιά της μέσης γραμμής.

Αξονική τομογραφία – εγκάρσια διατομή σε χαμηλότερο επίπεδο στο ύψος του τραχήλου. Οι δύο λοβοί του θυρεοειδούς, αριστερός (κόκκινο βέλος) και δεξιός (κίτρινο βέλος), με τον αριστερό να είναι στο ύψος αυτό του τραχήλου εμφανώς μεγαλύτερος. Ακόμη περισσότερο εμφανής η απώθηση της τραχείας (πράσινο βέλος) προς τα δεξιά της μέσης γραμμής.

Αξονική τομογραφία – εγκάρσια διατομή στο ύψος του θώρακα. Ο καταδυόμενος αριστερός λοβός σε βάθος στο μεσοθωράκιο (κίτρινο βέλος), απωθώντας την τραχεία (πράσινο βέλος) και τον οισοφάγο (μπλε βέλος ) προς τα δεξιά.

Αξονική τομογραφία – εγκάρσια διατομή στο ύψος του θώρακα, στο ύψος του αορτικού τόξου. Εμφανής η απώθηση της τραχείας (πράσινο βέλος) και του οισοφάγου (μπλε βέλος) προς τα δεξιά λόγω πίεσης από τον διογκωμένο αριστερό λοβό (κίτρινο βέλος).
Εργαστηριακός έλεγχος
Σημειώνεται σαν τυχαίο εύρημα στον προεγχειρητικό έλεγχο υπερπαραθορμοναιμία (PTH = 176 pg/ml) με νορμοασβεστιαιμία (Ca = 10 mg/ml). Ασθενής ευθυρεοειδικός.
Χειρουργική επέμβαση
Υποβλήθηκε σε χειρουργική επέμβαση μέσω εγκάρσιας τραχηλικής τομής υπό γενική αναισθησία. Κατά την επέμβαση επιβεβαιώθηκαν τα ευρήματα του προεγχειρητικού ελέγχου.
Έγινε ολική θυρεοειδεκτομή η οποία εξελίχθηκε με εξαιρετικά μεγάλου βαθμού δυσκολία λόγω σωματότυπου (πολύ βραχύς και πολύ βαθύς τράχηλος), λόγω του λίαν αυξημένου μεγέθους του θυρεοειδούς αδένα και της κατάδυσης του αριστερού λοβού στο μεσοθωράκιο.
Στην εξέλιξη της επέμβασης παρατηρήθηκε διογκωμένος και μακροσκοπικά παθολογικός παραθυρεοειδής αδένας (βλ. παραπάνω), εικόνα συμβατή με αδένωμα παραθυρεοειδούς που συναφαιρέθηκε με τον αριστερό λοβό.

Χειρουργικό παρασκεύασμα. Δεξιός λοβός, αριστερός λοβός και το συναφαιρεθέν αδένωμα αριστερού κάτω παραθυρεοειδούς. Με την διακεκομμένη μαύρη γραμμή αποδίδεται σχηματικά η θέση της αριστερής κλείδας, με το μέρος του αριστερού λοβού που βρίσκεται κάτω από την γραμμή αυτή να καταδύεται στο μεσοθωράκιο.
Αιμόσταση (έγινε χρήση Surgicel)-πλύσεις-τοποθέτηση παροχέτευσης κενού (Redon #10) – σύγκλειση τομής με πλαστική ενδοδερμική ραφή.
Σε όλη τη διάρκεια της επέμβασης οπτική αναγνώριση και προστασία των παλίνδρομων λαρυγγικών νεύρων άμφω.
Η επέμβαση εξελίχθηκε ομαλά.
Μετεγχειρητική πορεία
Η γενική αναισθησία και η επέμβαση έγιναν καλά ανεκτές – ανάνηψη ομαλή. Εξήλθε της κλινικής την 1η μετεγχειρητική ημέρα.
Απόγευμα ημέρας επέμβασης: PTH = 48 pg/ml & Ca = 9.8 mg/ml
Σχόλιο
Η θυρεοειδεκτομή για καταδυόμενη βρογχοκήλη είναι μία χειρουργική επέμβαση που απαιτεί ιδιαίτερη εμπειρία από την πλευρά του χειρουργού. Ο εξειδικευμένος και έμπειρος χειρουργός θυρεοειδούς μπορεί να ολοκληρώσει την θυρεοειδεκτομή ακόμη και σε βαθιά καταδυόμενες βρογχοκήλες μέσω της τραχηλικής τομής χωρίς να απαιτηθεί στερνοτομή ή θωρακοτομή.
Η επέμβαση θα πρέπει να γίνεται με ιδιαίτερη προσοχή καθώς ένα μεγάλο μέρος της κινητοποίησης του καταδυόμενου μέρους του θυρεοειδούς γίνεται με χειρισμούς χωρίς άμεση όραση. Για το λόγο αυτό οι χειρισμοί αυτοί θα πρέπει να γίνονται με ιδιαίτερη προσοχή.
Το πρόβλημα είναι ακόμη μεγαλύτερο όταν ο σωματότυπος του ασθενούς είναι «δύσκολος» («δύσκολος τράχηλος»), όπως στην περίπτωση του ασθενούς μας. Με τον όρο «δύσκολος τράχηλος» περιγράφεται ο σωματότυπος του ασθενούς στον οποίο ο τράχηλος είναι βραχύς (κατά τον κεφαλοουραίο άξονα) και βραχύς (κατά τον προσθιοπίσθιο άξονα). Στις περιπτώσεις αυτές ο χώρος που είναι διαθέσιμος για τον χειρουργό στον τράχηλο προκειμένου να εκτελέσει τους χειρουργικούς χειρισμούς είναι εξαιρετικά περιορισμένος, γεγονός που – σε συνδυασμό με τις αυξημένες διαστάσεις του θυρεοειδούς – δυσχεραίνει σημαντικά την εξέλιξη της επέμβασης.
Μάθετε περισσότερα για την καταδυόμενη βρογχοκήλη κάνοντας κλικ εδώ.
ΜΑΘΕΤΕ ΠΕΡΙΣΣΟΤΕΡΑ
Επισκεφθείτε την ιστοσελίδα μας (https://www.gsakorafas.gr)
Διαβάστε τα άρθρα μας στο blog μας (https://gsakorafas.gr/blog/)
Ενημερωθείτε πρακτικά και υπεύθυνα στην ιστοσελίδα μας:
Για τις παθήσεις θυρεοειδούς
Για τις παθήσεις παραθυρεοειδών
Τι είναι ο χειρουργός θυρεοειδούς – παραθυρεοειδών?
Τι σημασία έχει η εμπειρία του χειρουργού στην αντιμετώπιση των παθήσεων θυρεοειδούς και παραθυρεοειδών?
ΘΑ ΜΑΣ ΒΡΕΙΤΕ
ΕΥΓΕΝΙΔΕΙΟ-Παπαδιαμαντοπούλου 20 (Ιλίσια)
ΙΑΤΡΙΚΟ ΨΥΧΙΚΟΥ – Άντερσεν 5 (Νέο Ψυχικό)
ΜΗΤΕΡΑ- Ερυθρού Σταυρού 5 (Μαρούσι)
ΤΗΛ. 2107487318 & 6977068223
email: georgesakorafas@yahoo.com
ΛΕΖΑΝΤΕΣ ΕΙΚΟΝΩΝ
1
Γιγάντια καταδυόμενη βρογχοκήλη σε ασθενή με «δύσκολο» τράχηλο και βαθιά κατάδυση (μέχρι το αορτικό τόξο) – διατραχηλική εκτομή (χωρίς στερνοτομή) με ταυτόχρονη παραθυρεοειδεκτομή για τυχαία διαγνωσθέν αδένωμα παραθυρεοειδούς. Αξονική τομογραφία – εικόνα σε κατά μέτωπο διατομή: Ο καταδυόμενος αριστερός λοβός (κόκκινος αστερίσκος) εκτείνεται σε βάθος στο μεσοθωράκιο φθάνοντας στο άνω όριο του αορτικού τόξου (ΑΟ) μεταξύ της έκφυσης της ανωνύμου αρτηρίας (κόκκινο βέλος) και της αριστεράς κοινής καρωτίδας (πράσινο βέλος).
2
Αξονική τομογραφία – κατά μέτωπο διατομή , σε άλλο επίπεδο. Η εγγύτητα του καταδυόμενου αριστερού λοβού (κόκκινος αστερίσκος) με το αορτικό τόξο (ΑΟ) είναι εμφανής.
3
Αξονική τομογραφία – εγκάρσια διατομή στο ύψος του τραχήλου. Απεικονίζονται οι δύο διογκωμενοι λοβοί του θυρεοειδούς, αριστερός (κόκκινο βέλος) και δεξιός (κίτρινο βέλος). Εμφανής η απώθηση της τραχείας (πράσινο βέλος) προς τα δεξιά της μέσης γραμμής.
4
Αξονική τομογραφία – εγκάρσια διατομή σε χαμηλότερο επίπεδο στο ύψος του τραχήλου. Οι δύο λοβοί του θυρεοειδούς, αριστερός (κόκκινο βέλος) και δεξιός (κίτρινο βέλος), με τον αριστερό να είναι στο ύψος αυτό του τραχήλου εμφανώς μεγαλύτερος. Ακόμη περισσότερο εμφανής η απώθηση της τραχείας (πράσινο βέλος) προς τα δεξιά της μέσης γραμμής.
5
Αξονική τομογραφία – εγκάρσια διατομή στο ύψος του θώρακα. Ο καταδυόμενος αριστερός λοβός σε βάθος στο μεσοθωράκιο (κίτρινο βέλος), απωθώντας την τραχεία (πράσινο βέλος) και τον οισοφάγο (μπλε βέλος ) προς τα δεξιά.
6
Αξονική τομογραφία – εγκάρσια διατομή στο ύψος του θώρακα, στο ύψος του αορτικού τόξου. Εμφανής η απώθηση της τραχείας (πράσινο βέλος) και του οισοφάγου (μπλε βέλος) προς τα δεξιά λόγω πίεσης από τον διογκωμένο αριστερό λοβό (κίτρινο βέλος).
7
Χειρουργικό παρασκεύασμα. Δεξιός λοβός, αριστερός λοβός και το συναφαιρεθέν αδένωμα αριστερού κάτω παραθυρεοειδούς. Με την διακεκομμένη μαύρη γραμμή αποδίδεται σχηματικά η θέση της αριστερής κλείδας, με το μέρος του αριστερού λοβού που βρίσκεται κάτω από την γραμμή αυτή να καταδύεται στο μεσοθωράκιο.
γιγάντια καταδυόμενη βρογχοκήλη γιγάντια καταδυόμενη βρογχοκήλη γιγάντια καταδυόμενη βρογχοκήλη
γιγάντια καταδυόμενη βρογχοκήλη γιγάντια καταδυόμενη βρογχοκήλη γιγάντια καταδυόμενη βρογχοκήλη
γιγάντια καταδυόμενη βρογχοκήλη γιγάντια καταδυόμενη βρογχοκήλη γιγάντια καταδυόμενη βρογχοκήλη
γιγάντια καταδυόμενη βρογχοκήλη γιγάντια καταδυόμενη βρογχοκήλη γιγάντια καταδυόμενη βρογχοκήλη
γιγάντια καταδυόμενη βρογχοκήλη γιγάντια καταδυόμενη βρογχοκήλη γιγάντια καταδυόμενη βρογχοκήλη
γιγάντια καταδυόμενη βρογχοκήλη γιγάντια καταδυόμενη βρογχοκήλη γιγάντια καταδυόμενη βρογχοκήλη