Καταδυόμενη βρογχοκήλη σε ασθενή με ‘εχθρικό’ σωματότυπο, βαθιά κατάδυση και πιεστικά φαινόμενα (δύσπνοια) – αφαίρεση μέσω τραχηλικής τομής (χωρίς στερνοτομή)
Παρουσίαση ασθενούς
Αιτία εισόδου
Ο ασθενής προσήλθε για χειρουργική αντιμετώπιση λίαν ευμεγέθους (γιγάντιας) καταδυόμενης βρογχοκήλης. Αναφέρει δυσκολία στην αναπνοή (δύσπνοια).
Υπερηχογράφημα
Στο υπερηχογράφημα απεικονίσθηκε αύξηση των διαστάσεων του θυρεοειδούς και κυρίως του δεξιού λοβού που καταδύεται σε βάθος στο μεσοθωράκιο απωθώντας την τραχεία προς τα αριστερά. Σημειώνεται η υψηλή θέση των άνω πόλων των δύο λοβών στον τράχηλο. Παρουσία αρκετών ευμεγέθων όζων άμφω, δεξιά με διαστάσεις 78 χ 37 (καταδυόμενος, στον κάτω πόλο) και 43 χ 28 στον άνω πόλο και αριστερά 51 χιλ. στον κάτω πόλο και 40 χιλ. στον άνω πόλο. Χωρίς παθολογικούς λεμφαδένες στον τράχηλο.
Αξονική τομογραφία
Ο ασθενής παραπέμφθηκε για αξονική τομογραφία τραχήλου όπου παρατηρείται σημαντική διόγκωση του θυρεοειδούς (βρογχοκήλη) με κατάδυση αυτού στο μεσοθωράκιο. Στην είσοδο του θωρακικού κλωβού παρατηρείται σημαντικού βαθμού περιορισμός της βατότητας της τραχείας.
Το εύρημα αυτό εξηγεί την δύσπνοια που αναφέρει ο ασθενής.
Το κατώτερο σημείο του δεξιού λοβού φθάνει στο ύψος του αορτικού τόξου. Μεγίστη επιμήκης διάμετρος του δεξιού λοβού 150 χιλ. και του αριστερού λοβού 120 χιλ. αντίστοιχα.
Χωρίς παθολογικούς λεμφαδένες και στην αξονική.
Ασθενής ευθυρεοειδικός.

Τοπόγραμμα πριν την αξονική τομογραφία. Απώθηση της τραχείας προς τα αριστερά. Ο ‘εχθρικός’ σωματότυπος (βαθύς και βραχύς τράχηλος) γίνεται εύκολα αντιληπτός από την εικόνα αυτή

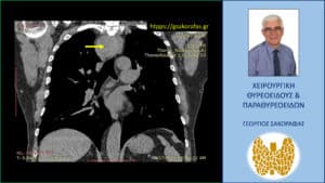
Αξονική τομογραφία – εγκάρσια διατομή. Ο λίαν διογκωμένος και καταδυόμενος δεξιός λοβός (κίτρινο βέλος) απωθεί προς τα αριστερά την τραχεία (κόκκινο βέλος), που συμπιέζεται και από τον λιγότερο διογκωμένο αριστερό λοβό (μπλε βέλος), με αποτέλεσμα την στένωση του αυλού της

Αξονική τομογραφία – εγκάρσια διατομή σε χαμηλότερο επίπεδο, όπου φαίνεται η βαθιά κατάδυση του δεξιού λοβού στο μεσοθωράκιο

Χαμηλότερη τομή στην αξονική τομογραφία – εμφανής η σε βάθος κατάδυση του δεξιού λοβού στο μεσοθωράκιο (κίτρινο βέλος)

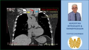
Καταδυόμενη βρογχοκήλη. Αξονική τομογραφία – κατά μέτωπο διατομή. Εμφανής η σε βάθος κατάδυση του δεξιού λοβού στο μεσοθωράκιο (κίτρινο βέλος) που φθάνει σχεδόν στο ύψος του διχασμού της τραχείας, που απωθείται προς τα αριστερά.

Αξονική τομογραφία – κατά μέτωπο διατομή σε άλλο επίπεδο. Απεικονίζεται η σημαντικού βαθμού στένωση της τραχείας (κόκκινο βέλος) από τον λίαν διογκωμένο δεξιό λοβό (κίτρινο βέλος) και τον διογκωμένο αριστερό λοβό (μπλε βέλος)

Χειρουργικό παρασκεύασμα. Εμφανής η μεγάλου βαθμού διόγκωση του δεξιού λοβού που καταδύεται σε βάθος στο μεσοθωράκιο. Και ο αριστερός λοβός παρουσιάζει μικρότερου βαθμού διόγκωση. Με τις μαύρες διακεκομμένες γραμμές και το κιτρινωπό γέμισμα αποδίδεται το φυσιολογικό μέγεθος του θυρεοειδούς αδένα. Με τις κίτρινες γραμμές αποδίδεται σχηματικά η θέση των δύο κλειδών.
Χειρουργική επέμβαση
Υποβλήθηκε σε ολική θυρεοειδεκτομή μέσω εγκάρσιας τραχηλικής τομής υπό γενική αναισθησία. Κατά την επέμβαση επιβεβαιώθηκαν τα ευρήματα του προεγχειρητικού ελέγχου. Η επέμβαση εξελίχθηκε με πολύ μεγάλου βαθμού δυσκολία λόγω:
- Των λίαν αυξημένων διαστάσεων του θυρεοειδούς, που καταλαμβάνει ολόκληρο τον τράχηλο, από το ύψος των γωνιών της κάτω γνάθου
- Της κατάδυσης στο μεσοθωράκιο, ιδιαίτερα στου δεξιού λοβού που εκτείνεται σε μεγάλο βάθος μέχρι τις παρυφές του αορτικού τόξου
- Του σωματότυπου του ασθενούς (βραχύς και βαθύς τράχηλος)
- Της δυσχερούς αποκόλλησης από την τραχεία
- Της παρουσίας λίαν ευμεγέθων αγγειακών κλάδων (αναμενόμενο εύρημα λόγω της μεγάλου βαθμού διόγκωσης του θυρεοειδούς
Δεν παρατηρήθηκαν μακροσκοπικά ύποπτοι ή παθολογικοί λεμφαδένες στο κεντρικό διαμέρισμα του τραχήλου.
Αιμόσταση (έγινε χρήση Surgicel) – πλύσεις – τοποθέτηση παροχέτευσης κενού (Redon #10) – σύγκλειση τομής με πλαστική ενδοδερμική ραφή.
Σε όλη τη διάρκεια της επέμβασης οπτική αναγνώριση και προστασία των παλίνδρομων λαρυγγικών νεύρων άμφω.
Η επέμβαση εξελίχθηκε ομαλά. Η γενική αναισθησία και η επέμβαση έγιναν καλά ανεκτές – ανάνηψη ομαλή. Εξήλθε της κλινικής την 1η μετεγχειρητική ημέρα.
Σχόλιο
To θέμα του καταδυόμενου όζου – καταδυόμενης βρογχοκήλης αναλύεται και σε άλλο άρθρο του blog της ιστοσελίδας μας.
Εδώ αναφέρουμε απλά ότι στις περιπτώσεις αυτές ο χειρουργός θα κληθεί να αντιμετωπίσει τεχνικές δυσκολίες και προκλήσεις στην εξέλιξη της επέμβασης. Και αυτό γιατί ο διαθέσιμος χώρος για τους χειρουργικούς χειρισμούς είναι μικρός (είσοδος στην θωρακική κοιλότητα) ενώ σε μικρή απόσταση από την σφαγιτιδική εντομή βρίσκονται τα μεγάλα αγγεία του μεσοθωρακίου.
Χρειάζεται επομένως ιδιαίτερη προσοχή στους χειρουργικούς χειρισμούς, μέρος των οποίων γίνεται τυφλά, με την βοήθεια κυρίως της ψηλάφησης.
Η εμπειρία του χειρουργού είναι εν προκειμένω καθοριστικός παράγοντας για την ασφαλή και επιτυχή ολοκλήρωση της επέμβασης μέσω της τραχηλικής τομής. Με τον τρόπο αυτό ο ασθενής μπορεί να αποφύγει την στερνοτομή που επιβαρύνει την επέμβαση.
Ο σωματότυπος στην περίπτωση του ασθενούς μας ήταν ένα επιπλέον πρόβλημα (βαθύς και βραχύς τράχηλος, παχυσαρκία) καθότι περιόρισε ακόμη περισσότερο τον διαθέσιμο χώρο του χειρουργικού πεδίου.
ΛΕΖΑΝΤΕΣ ΕΙΚΟΝΩΝ
1
Τοπόγραμμα πριν την αξονική τομογραφία. Απώθηση της τραχείας προς τα αριστερά. Ο ‘εχθρικός’ σωματότυπος (βαθύς και βραχύς τράχηλος) γίνεται εύκολα αντιληπτός από την εικόνα αυτή
2
Αξονική τομογραφία – εγκάρσια διατομή. Ο λίαν διογκωμένος και καταδυόμενος δεξιός λοβός (κίτρινο βέλος) απωθεί προς τα αριστερά την τραχεία (κόκκινο βέλος), που συμπιέζεται και από τον λιγότερο διογκωμένο αριστερό λοβό (μπλε βέλος), με αποτέλεσμα την στένωση του αυλού της
3
Αξονική τομογραφία – εγκάρσια διατομή σε χαμηλότερο επίπεδο, όπου φαίνεται η βαθιά κατάδυση του δεξιού λοβού στο μεσοθωράκιο
4
Αξονική τομογραφία – κατά μέτωπο διατομή. Εμφανής η σε βάθος κατάδυση του δεξιού λοβού στο μεσοθωράκιο (κίτρινο βέλος) που φθάνει σχεδόν στο ύψος του διχασμού της τραχείας, που απωθείται προς τα αριστερά.
5
Αξονική τομογραφία – κατά μέτωπο διατομή σε άλλο επίπεδο. Απεικονίζεται η σημαντικού βαθμού στένωση της τραχείας (κόκκινο βέλος) από τον λίαν διογκωμένο δεξιό λοβό (κίτρινο βέλος) και τον διογκωμένο αριστερό λοβό (μπλε βέλος)
6
Χειρουργικό παρασκεύασμα. Εμφανής η μεγάλου βαθμού διόγκωση του δεξιού λοβού που καταδύεται σε βάθος στο μεσοθωράκιο. Και ο αριστερός λοβός παρουσιάζει μικρότερου βαθμού διόγκωση. Με τις μαύρες διακεκομμένες γραμμές και το κιτρινωπό γέμισμα αποδίδεται το φυσιολογικό μέγεθος του θυρεοειδούς αδένα. Με τις κίτρινες γραμμές αποδίδεται σχηματικά η θέση των δύο κλειδών.
ΜΑΘΕΤΕ ΠΕΡΙΣΣΟΤΕΡΑ
Επισκεφθείτε την ιστοσελίδα μας (https://www.gsakorafas.gr)
Διαβάστε τα άρθρα μας στο blog μας (https://gsakorafas.gr/blog/)
Ενημερωθείτε πρακτικά και υπεύθυνα στην ιστοσελίδα μας:
Για τις παθήσεις θυρεοειδούς
Για τις παθήσεις παραθυρεοειδών
Τι είναι ο χειρουργός θυρεοειδούς – παραθυρεοειδών?
Τι σημασία έχει η εμπειρία του χειρουργού στην αντιμετώπιση των παθήσεων θυρεοειδούς και παραθυρεοειδών?
ΘΑ ΜΑΣ ΒΡΕΙΤΕ
ΕΥΓΕΝΙΔΕΙΟ-Παπαδιαμαντοπούλου 20 (Ιλίσια)
ΙΑΤΡΙΚΟ ΨΥΧΙΚΟΥ – Άντερσεν 5 (Νέο Ψυχικό)
ΜΗΤΕΡΑ- Ερυθρού Σταυρού 5 (Μαρούσι)
ΤΗΛ. 2107487318 & 6977068223
email: georgesakorafas@yahoo.com
καταδυόμενη βρογχοκήλη καταδυόμενη βρογχοκήλη καταδυόμενη βρογχοκήλη καταδυόμενη βρογχοκήλη
καταδυόμενη βρογχοκήλη καταδυόμενη βρογχοκήλη καταδυόμενη βρογχοκήλη καταδυόμενη βρογχοκήλη
καταδυόμενη βρογχοκήλη καταδυόμενη βρογχοκήλη καταδυόμενη βρογχοκήλη καταδυόμενη βρογχοκήλη
καταδυόμενη βρογχοκήλη καταδυόμενη βρογχοκήλη καταδυόμενη βρογχοκήλη καταδυόμενη βρογχοκήλη