Ευμεγέθης όζος θυρεοειδούς με πιεστικά φαινόμενα επί της τραχείας – εικόνες με αφορμή νεαρή ασθενή μας
Παρουσίαση ασθενούς
Αιτία εισόδου
Ευμεγέθης όζος θυρεοειδούς σε ασθενή ηλικίας 29 ετών
Προεγχειρητικός έλεγχος
Κλινική εικόνα
Η ασθενής περιγράφει αίσθημα βάρους στον τράχηλο και δυσκολία στην αναπνοή. Ορατή επισκοπικά διόγκωση στο κατώτερο μέρος του τραχήλου. Ψηλαφητός ο διογκωμένος αριστερός λοβός του θυρεοειδούς.
Υπερηχογράφημα
Στο υπερηχογράφημα απεικονίσθηκε στον αριστερό λοβό λίαν ευμεγέθης όζος με διαστάσεις 62 x 51 x 34 mm που καταδύεται στο μεσοθωράκιο με καλοήθεις ηχομορφολογικούς χαρακτήρες. Δεν απεικονίσθηκαν ύποπτοι ή παθολογικοί τραχηλικοί λεμφαδένες
Αξονική τομογραφία
Για προσδιορισμό του ακριβούς βάθους κατάδυσης στο μεσοθωράκιο, η ασθενής υποβλήθηκε σε αξονική τομογραφία, στην οποία ο ως άνω όζος θυρεοειδούς περιγράφεται με ακόμη μεγαλύτερη μεγίστη διάμετρο (82 mm) σε σχέση με το υπερηχογράφημα (βλ. παραπάνω, 62 χιλ.). Ο όζος καταδύεται σε βάθος στο μεσοθωράκιο φθάνοντας στις παρυφές του αορτικού τόξου, της έκφυσης της αριστεράς κοινής καρωτίδας και του δεξιού βραχιονοκεφαλικού στελέχους. Όπως και στο υπερηχογράφημα, και στην αξονική τομογραφία δεν απεικονίσθηκαν ύποπτοι ή παθολογικοί τραχηλικοί λεμφαδένες.

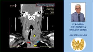
Τοπόγραμμα αξονικής τομογραφίας. Εμφανής η απώθηση της τραχείας (πράσινο βέλος) προς τα δεξιά της μέσης γραμμής (κάθετη μαύρη διακεκομμένη γραμμή)

Αξονική τομογραφία -διατομή σε κατά μέτωπο επίπεδο. Ο ευμεγέθης όζος (κίτρινος αστερίσκος) εκτείνεται μεταξύ της έκφυσης της αριστερής κοινής καρωτίδας (μπλε βέλος) και του βραχιονοκεφαλικού στελέχους (κόκκινο βέλος), φθάνοντας σε βάθος στις παρυφές του αορτικού τόξου (κίτρινο βέλος).

Ευμεγέθης όζος θυρεοειδούς. Αξονική τομογραφία – διατομή σε κατά μέτωπο επίπεδο (διαφορετικό από το προηγούμενο). Ο όζος (κίτρινος αστερίσκος) καταδύεται στο μεσοθωράκιο σε βάθος, φθάνοντας στις παρυφές του αορτικού τόξου (κίτρινο βέλος) και απωθεί προς τα δεξιά την τραχεία (πράσινο βέλος).

Αξονική τομογραφία – εγκάρσια διατομή. Ο ευμεγέθης όζος (κίτρινος αστερίσκος) απωθεί προς τα δεξιά την τραχεία (πράσινο βέλος).
Παρακέντηση με λεπτή βελόνη (FNA) και κυτταρολογική εξέταση
Η ασθενής προσκομίζει κυτταρολογική εξέταση μετά παρακέντηση με λεπτή βελόνη του όζου. Ταυτοποιήθηκε ως Bethesda II (με τους περιορισμούς λόγω μεγάλου μεγέθους του όζου).
Λοιπός προεγχειρητικός έλεγχος
Χωρίς παθολογικά ευρήματα. Ασθενής ευθυρεοειδική.
Χειρουργική επέμβαση
Υποβλήθηκε σε ολική θυρεοειδεκτομή μέσω εγκάρσιας τραχηλικής τομής υπό γενική αναισθησία. Κατά την επέμβαση επιβεβαιώθηκαν τα ευρήματα του προεγχειρητικού ελέγχου.
Η επέμβαση εξελίχθηκε με μεγάλου βαθμού δυσκολία λόγω των λίαν αυξημένων διαστάσεων του αριστερού λοβού, της κατάδυσής του στο μεσοθωράκιο και του σωματότυπου (βραχύς και βαθύς τράχηλος, παχυσαρκία).
Η επέμβαση εξελίχθηκε ομαλά.
Η γενική αναισθησία και η επέμβαση έγιναν καλά ανεκτές – ανάνηψη ομαλή.
Εξήλθε της κλινικής την 1η μετεγχειρητική ημέρα.
Ιστολογική εξέταση
Καλοήθης αδενωματώδης όζος θυρεοειδούς.
Σχόλιο
Ένας ευμεγέθης όζος θυρεοειδούς μπορεί να προκαλέσει πίεση επί των παρακείμενων ανατομικών στοιχείων. Καθώς ο θυρεοειδής επικάθεται επί της τραχείας, το πρώτο όργανο που μπορεί να δεχθεί την πίεση αυτή είναι η τραχεία. Ανάλογα με το μέγεθος της πίεσης μπορεί ο ασθενής να μην έχει κανένα απολύτως σύμπτωμα, μπορεί όμως να παρουσιάσει δυσκολία στην αναπνοή ή ακόμη και δύσπνοια με τον χαρακτηριστικό εισπνευστικό συριγμό.
Σπανιότερα, οι μεγάλοι όζοι που βρίσκονται σε οπίσθια θέση του θυρεοειδούς, μπορεί να πιέσουν και τον οισοφάγο, που βρίσκεται πίσω από την τραχεία. Σε αυτή την περίπτωση εμφανίζεται δυσκολία στην κατάποση (δυσκαταποσία).
Το μεγάλο μέγεθος των όζων συνδυάζεται με την παρουσία των ως άνω συμπτωμάτων, που – καθώς εμφανίζονται λόγω πίεσης παρακειμένων οργάνων – περιγράφονται με τον όρο «πιεστικά φαινόμενα».
ΛΕΖΑΝΤΕΣ ΕΙΚΟΝΩΝ
ΕΙΚΟΝΑ 1
Τοπόγραμμα αξονικής τομογραφίας. Εμφανής η απώθηση της τραχείας (πράσινο βέλος) προς τα δεξιά της μέσης γραμμής (κάθετη μαύρη διακεκομμένη γραμμή)
ΕΙΚΟΝΑ 2
Αξονική τομογραφία -διατομή σε κατά μέτωπο επίπεδο. Ο ευμεγέθης όζος (κίτρινος αστερίσκος) εκτείνεται μεταξύ της έκφυσης της αριστερής κοινής καρωτίδας (μπλε βέλος) και του βραχιονοκεφαλικού στελέχους (κόκκινο βέλος), φθάνοντας σε βάθος στις παρυφές του αορτικού τόξου (κίτρινο βέλος).
ΕΙΚΟΝΑ 3
Ευμεγέθης όζος θυρεοειδούς. Αξονική τομογραφία – διατομή σε κατά μέτωπο επίπεδο (διαφορετικό από το προηγούμενο). Ο όζος (κίτρινος αστερίσκος) καταδύεται στο μεσοθωράκιο σε βάθος, φθάνοντας στις παρυφές του αορτικού τόξου (κίτρινο βέλος) και απωθεί προς τα δεξιά την τραχεία (πράσινο βέλος).
ΕΙΚΟΝΑ 4
Αξονική τομογραφία – εγκάρσια διατομή. Ο ευμεγέθης όζος (κίτρινος αστερίσκος) απωθεί προς τα δεξιά την τραχεία (πράσινο βέλος).
ΜΑΘΕΤΕ ΠΕΡΙΣΣΟΤΕΡΑ
Επισκεφθείτε την ιστοσελίδα μας (https://www.gsakorafas.gr)
Διαβάστε τα άρθρα μας στο blog μας (https://gsakorafas.gr/blog/)
Ενημερωθείτε πρακτικά και υπεύθυνα στην ιστοσελίδα μας:
Για τις παθήσεις θυρεοειδούς
Για τις παθήσεις παραθυρεοειδών
Τι είναι ο χειρουργός θυρεοειδούς – παραθυρεοειδών?
Τι σημασία έχει η εμπειρία του χειρουργού στην αντιμετώπιση των παθήσεων θυρεοειδούς και παραθυρεοειδών?
ΘΑ ΜΑΣ ΒΡΕΙΤΕ
ΕΥΓΕΝΙΔΕΙΟ-Παπαδιαμαντοπούλου 20 (Ιλίσια)
ΙΑΤΡΙΚΟ ΨΥΧΙΚΟΥ – Άντερσεν 5 (Νέο Ψυχικό)
ΜΗΤΕΡΑ- Ερυθρού Σταυρού 5 (Μαρούσι)
ΤΗΛ. 2107487318 & 6977068223
email: georgesakorafas@yahoo.com
Διαδικασία επεμβάσεων θυρεοειδούς και παραθυρεοειδών
- Ο ασθενής προσέρχεται νηστικός το πρωί της ημέρας της επέμβασης και σύντομα στη συνέχεια ακολουθεί η χειρουργική επέμβαση.
- Δεν υπάρχει χρόνος αναμονής (καθυστέρηση) για την επέμβαση.
- Η τομή είναι η μικρότερη δυνατή για την σωστή αντιμετώπιση του προβλήματος του ασθενούς (ανάλογα με την φύση του προβλήματος).
- Στην επέμβαση χρησιμοποιούνται – ανάλογα με τις ενδείξεις και σύμφωνα με τις οδηγίες των μεγάλων διεθνών επιστημονικών εταιρειών (Αμερικανικών και Ευρωπαϊκών) – όλα τα διαθέσιμα τεχνικά μέσα [κατά περίπτωση], όπως διεγχειρητική νευροπαρακολούθηση (intraoperative neuromonitoring) και οι προηγμένες συσκευές σύγχρονης αιμόστασης (με ραδιοσυχνότητες [radiofrequency] ή υπερήχους) για την όσο το δυνατόν μεγαλύτερη ασφάλεια κατά τη διενέργεια της επέμβασης. Η περίπτωση του κάθε ασθενούς εξετάζεται με ιδιαίτερη προσοχή και η επέμβαση που θα ακολουθήσει επιλέγεται με βάση τόσο τα σύγχρονα βιβλιογραφικά δεδομένα όσο και την μεγάλη εμπειρία που έχει συσσωρευτεί όλα αυτά τα χρόνια στη χειρουργική θυρεοειδούς-παραθυρεοειδών.
- Για τη διασφάλιση του βέλτιστου αισθητικού αποτελέσματος εφαρμόζεται τεχνική πλαστικής αποκατάστασης της χειρουργικής τομής, με χρήση πολύ λεπτού απορροφήσιμου ράμματος και ενδοδερμική ραφή, ενώ επιλέγεται κάποια δερματική πτυχή του τραχήλου για την τομή ώστε αυτή να μην είναι ορατή μετεγχειρητικά.
- Ο μετεγχειρητικός πόνος είναι ελάχιστος και ελέγχεται εύκολα με τα συνήθη απλά αναλγητικά.
- Η επέμβαση ολοκληρώνεται σε διάστημα περίπου 1 – 1.5 ώρας (στις συνήθεις περιπτώσεις) και στη συνέχεια γίνεται η αφύπνιση του ασθενούς που μπορεί να παραμείνει για μικρό διάστημα στην ανάνηψη στο χώρο των χειρουργείων.
- Στη συνέχεια διακομίζεται στο θάλαμο, όπου κινητοποιείται πολύ σύντομα (μετά από 1-2 ώρες).
- Το απόγευμα της ημέρας της επέμβασης γίνεται διακοπή της ενδοφλέβιας χορήγησης ορών και το βράδυ της ημέρας της επέμβασης αρχίζει η χορήγηση υγρών και ελαφράς τροφής από το στόμα.
- Την επομένη της επέμβασης ο ασθενής εξέρχεται της κλινικής και επιστρέφει στις συνήθεις του καθημερινές δραστηριότητες.
- Είναι σε θέση να επανέλθει στα επαγγελματικά του καθήκοντα μετά από 3-4 ημέρες (δικαιούται πάντως αναρρωτικής άδειας μετεγχειρητικά, αν το επιθυμεί).
- Με το εξιτήριο ο ασθενής λαμβάνει τις απαραίτητες οδηγίες και την αγωγή που ενδείκνυται, η οποία μπορεί να τροποποιηθεί όταν είναι διαθέσιμη η ιστολογική εξέταση. Χορηγείται επίσης ένα λεπτομερές αναλυτικό ενημερωτικό σημείωμα, στο οποίο περιγράφονται τα δεδομένα του προεγχειρητικού ελέγχου, τα διεγχειρητικά ευρήματα και η χειρουργική επέμβαση (πρακτικό επέμβασης).
- Η ιστολογική εξέταση (από έμπειρους επιλεγμένους παθολογοανατόμους) είναι διαθέσιμη σε πολύ μικρό χρόνο μετά την επέμβαση, αποφεύγοντας έτσι άσκοπες καθυστερήσεις και την αγωνία της αναμονής. Με την γρήγορη διαθεσιμότητα της ιστολογικής δεν καθυστερεί η περαιτέρω εφαρμογή αγωγής μετά την επέμβαση
- Καθώς για τη συρραφή του χειρουργικού τραύματος γίνεται πλαστική με χρήση απορροφήσιμου ράμματος, δεν χρειάζεται να επανέλθει ο ασθενής για κοπή .ραμμάτων.
- Η νοσηλεία γίνεται στα επιλεγμένα νοσοκομεία με τα οποία υπάρχει συνεργασία, με στόχο τη διασφάλιση των καλύτερων συνθηκών νοσηλείας και της αξιοπρέπειας του ασθενούς. Η νοσηλεία γίνεται σε προσεγμένους θαλάμους, σε ευχάριστο και φιλικό προς τον ασθενή και τους συνοδούς του περιβάλλον, διασφαλίζοντας με μεγάλη προσοχή και ευαισθησία την ικανοποίηση του ασθενούς σε όλη την πορεία, από τη διάγνωση της νόσου μέχρι την οριστική και βέλτιστη αντιμετώπισή της. Καταβάλλουμε ιδιαίτερη μέριμνα ώστε η νοσηλεία του ασθενούς να είναι όσο το δυνατόν περισσότερο ποιοτική και να καλύπτει πλήρως κάθε ανάγκη του.
- Για οποιαδήποτε πληροφορία ή ενημέρωση απαιτηθεί μετά την επέμβαση υπάρχει η δυνατότητα επικοινωνίας ανά πάσα στιγμή στο τηλέφωνο 6977068223 και στο email: georgesakorafas@yahoo.com
όζος θυρεοειδούς όζος θυρεοειδούς όζος θυρεοειδούς όζος θυρεοειδούς όζος θυρεοειδούς όζος θυρεοειδούς όζος θυρεοειδούς
όζος θυρεοειδούς όζος θυρεοειδούς όζος θυρεοειδούς όζος θυρεοειδούς όζος θυρεοειδούς όζος θυρεοειδούς όζος θυρεοειδούς
όζος θυρεοειδούς όζος θυρεοειδούς όζος θυρεοειδούς