Καταδυόμενη βρογχοκήλη με βαθιά κατάδυση μέχρι το αορτικό τόξο – αφαίρεση μέσω της τραχηλικής τομής (χωρίς στερνοτομή) σε νεαρό ασθενή μας
Παρουσίαση ασθενούς
Αιτία εισόδου
Πολυοζώδης μη τοξική βρογχοκήλη, βαθιά καταδυόμενη, σε ασθενή 44 ετών.
Απεικονιστικός έλεγχος
Υπερηχογράφημα
Στο υπερηχογράφημα απεικονίστηκε αύξηση των διαστάσεων και των δύο λοβών και ιδιαίτερα του αριστερού, που καταδύεται στο μεσοθωράκιο (καταδυόμενη βρογχοκήλη). Παρατηρούνται πολλαπλοί ευμεγέθεις όζοι διάσπαρτοι σε αμφότερους τους λοβούς με δυσδιάκριτα όρια, καλοήθους ηχομορφολογίας. Δεν απεικονίστηκαν ύποπτοι ή παθολογικοί λεμφαδένες στα ανατομικά διαμερίσματα του τραχήλου.
Αξονική τομογραφία
Στην αξονική τομογραφία θώρακος παρατηρείται σημαντικού βαθμού αύξηση των διαστάσεων του αριστερού λοβού που καταδύεται σε βάθος στο μεσοθωράκιο φτάνοντας στις παρυφές του αορτικού τόξου, απωθώντας την τραχεία προς τα δεξιά και προκαλώντας στένωση του αυλού της (βαθιά καταδυόμενη βρογχοκήλη, βλ. παρακάτω εικόνες).

Αξονική τομογραφία – τοπόγραμμα. Εμφανής η απώθηση – απόκλιση της τραχείας (κόκκινο βέλος) προς τα δεξιά λόγω πίεσής της από τον διογκωμένο καταδυόμενο αριστερό λοβό.

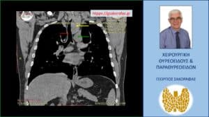
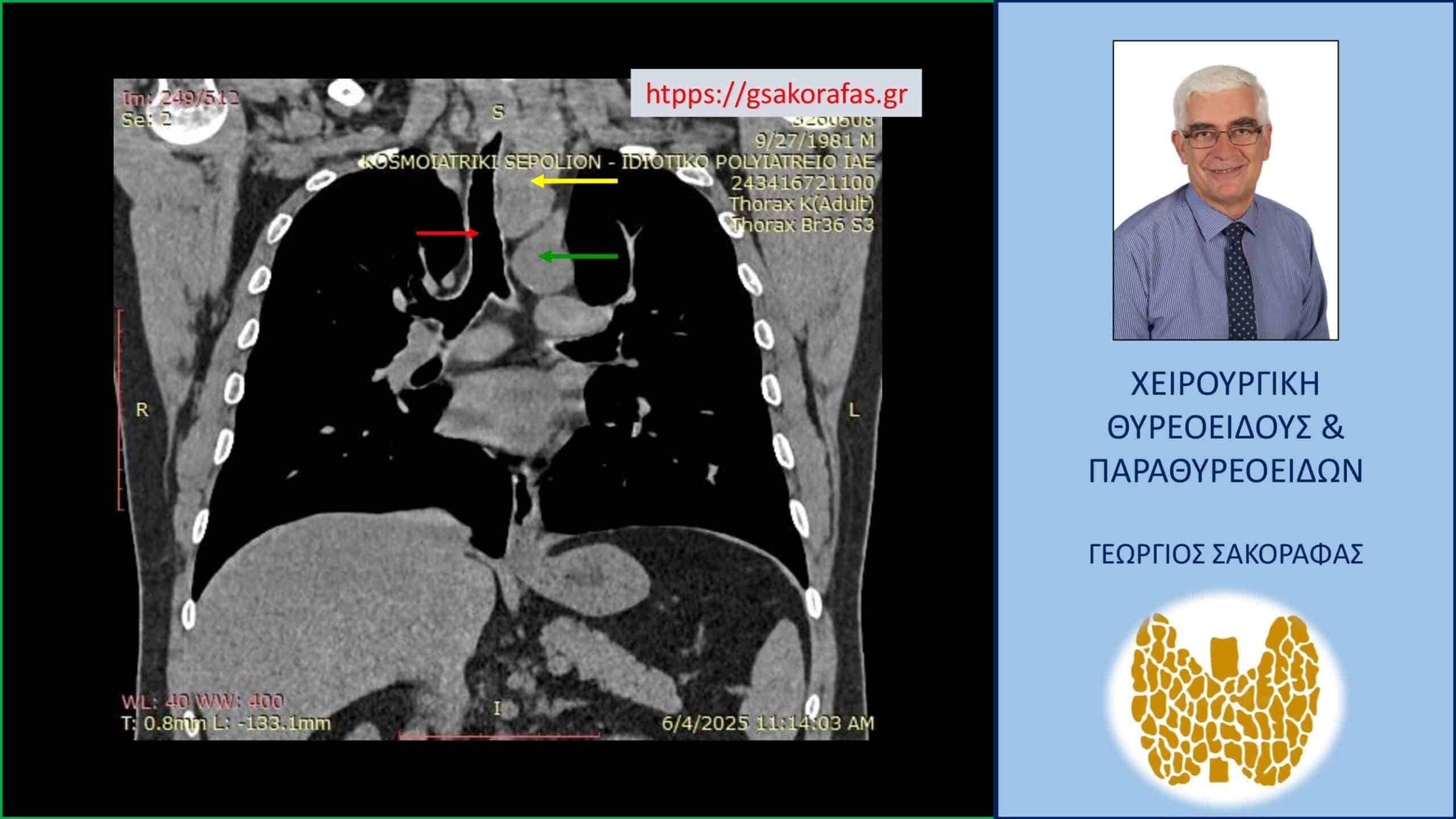
Αξονική τομογραφία – απεικόνιση σε κατά μέτωπο διατομή. Εμφανής η μεγάλου βαθμού διόγκωση και η κατάδυση σε βάθος του αριστερού λοβού (κίτρινο βέλος), που φθάνει στις παρυφές του αορτικού τόξου (πράσινο βέλος), με την τραχεία (κόκκινο βέλος) να απωθείται προς τα δεξιά από τον διογκωμένο αριστερό λοβό.

Καταδυόμενη βρογχοκήλη με κατάδυση σε βάθος στο θώρακα – εικόνα στην αξονική τομογραφία (κατά μέτωπο διατομή, σε άλλο επίπεδο). Εμφανής η μεγάλου βαθμού διόγκωση και η κατάδυση σε βάθος του αριστερού λοβού (κίτρινο βέλος), που φθάνει στις παρυφές του αορτικού τόξου (πράσινο βέλος), με την τραχεία (κόκκινο βέλος) να απωθείται προς τα δεξιά από τον διογκωμένο αριστερό λοβό. Ο καταδυόμενος αριστερός λοβός φθάνει σε βάθος λίγο πιο πάνω από τον διχασμό της τραχείας στους δύο στελεχιαίους βρόγχους.

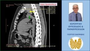
Αξονική τομογραφία – εικόνα σε διατομή κατά το προσθιοπίσθιο επίπεδο. Και στη διατομή αυτή φαίνεται η βαθιά κατάδυση του αριστερού λοβού (κίτρινο βέλος), που φθάνει στο άνω όριο του αορτικού τόξου (πράσινο βέλος).

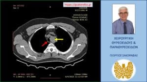
Αξονική τομογραφία – εγκάρσια διατομή. Ο διογκωμένος αριστερός λοβός (κίτρινο βέλος) που απωθεί την τραχεία (κόκκινο βέλος) προς τα δεξιά.

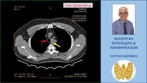
Αξονική τομογραφία – εγκάρσια διατομή σε χαμηλότερο επίπεδο. Ο διογκωμένος αριστερός λοβός (κίτρινο βέλος) που απωθεί την τραχεία (κόκκινο βέλος) προς τα δεξιά.

Αξονική τομογραφία – εγκάρσια διατομή σε ακόμη χαμηλότερο επίπεδο. Ο διογκωμένος αριστερός λοβός (κίτρινο βέλος) που απωθεί την τραχεία (κόκκινο βέλος) προς τα δεξιά.

Αξονική τομογραφία – εγκάρσια διατομή σε ακόμη πιο χαμηλό επίπεδο. Ο διογκωμένος αριστερός λοβός (κίτρινο βέλος) που απωθεί την τραχεία (κόκκινο βέλος) προς τα δεξιά.
Παρακέντηση όζου με λεπτή βελόνη (FNA) – κυτταρολογική εξέταση
Ο ασθενής προσκομίζει κυτταρολογική εξέταση του υλικού που ελήφθη με παρακέντηση με λεπτή βελόνη (FNA) του μεγαλύτερου όζου του αριστερού λοβού διαμέτρου 41 χιλ. που ταυτοποιήθηκε ως Bethesda II.
Χειρουργική επέμβαση
Υποβλήθηκε σε ολική θυρεοειδεκτομή μέσω εγκάρσιας τραχηλικής τομής υπό γενική αναισθησία.

Χειρουργικό παρασκεύασμα. Στο ένθετο της εικόνας (κάτω αριστερά) είναι σχεδιασμένος υπό κλίμακα ένας θυρεοειδής φυσιολογικών διαστάσεων για λόγους σύγκρισης του μεγέθους. Εμφανής η διόγκωση του θυρεοειδούς του ασθενούς και ιδιαίτερα του αριστερού λοβού. Με τις διακεκομμένες μαύρες γραμμές απεικονίζεται σχηματικά η θέση των δύο κλειδών. Το μέρος του θυρεοειδούς που βρίσκεται κάτωθεν των γραμμών αυτών αντιστοιχεί στο καταδυόμενό του μέρος.
Κατά την επέμβαση επιβεβαιώθηκαν τα ευρήματα του προεγχειρητικού ελέγχου.
Εξαιρετικά δυσχερής εξέλιξη της επέμβασης λόγω των λίαν αυξημένων διαστάσεων των δύο λοβών και ιδιαίτερα του αριστερού, που καταδύεται σε βάθος στο θώρακα μέχρι το ύψος του αορτικού τόξου, αλλά και λόγω δύσκολου σωματότυπου (βαθύς – βραχύς τράχηλος, σωματώδης ασθενής) και επιπλέον και λόγω της δυσχερούς αποκόλλησης των δύο λοβών από την τραχεία.
Παρά τις τεχνικές αυτές δυσκολίες η επέμβαση ολοκληρώθηκε μέσω της τραχηλικής τομής, χωρίς να γίνει στερνοτομή.
Δεν παρατηρήθηκαν ύποπτοι ή παθολογικοί λεμφαδένες στο κεντρικό διαμέρισμα του τραχήλου.
Αιμόσταση (έγινε χρήση Surgicel) – πλύσεις – τοποθέτηση παροχέτευσης κενού (Redon #10) – σύγκλειση τομής με πλαστική ενδοδερμική ραφή.
Σε όλη τη διάρκεια της επέμβασης αναγνώριση (οπτική και με νευροδιεγέρτη) και προστασία των παλίνδρομων λαρυγγικών νεύρων άμφω.
Η επέμβαση εξελίχθηκε ομαλά.
Η γενική αναισθησία και η επέμβαση έγιναν καλά ανεκτές – ανάνηψη ομαλή.
Εξήλθε της κλινικής την 1η μετεγχειρητική ημέρα σε άριστη γενική κατάσταση
Σχόλιο
Στις περισσότερες περιπτώσεις, στα χέρια ενός έμπειρου χειρουργού θυρεοειδούς, μία καταδυόμενη βρογχοκήλη, ακόμη και με μεγάλο βάθος κατάδυσης, μπορεί να αφαιρεθεί μέσω της τραχηλικής τομής, χωρίς να χρειαστεί στερνοτομή.
Στην περίπτωση του ασθενούς μας, ο καταδυόμενος αριστερός λοβός έφθανε σε μεγάλο βάθος στο μεσοθωράκιο, μέχρι το ύψος του αορτικού τόξου, σε μικρή απόσταση από τον διχασμό της τραχείας στους δύο στελεχιαίους βρόγχους.
Οι επεμβάσεις αυτές είναι τεχνικά δύσκολες και απαιτείται ιδιαίτερη προσοχή και εμπειρία για την ασφαλή εκτέλεσή τους.
ΜΑΘΕΤΕ ΠΕΡΙΣΣΟΤΕΡΑ
Επισκεφθείτε την ιστοσελίδα μας (https://www.gsakorafas.gr)
Διαβάστε τα άρθρα μας στο blog μας (https://gsakorafas.gr/blog/)
Ενημερωθείτε πρακτικά και υπεύθυνα στην ιστοσελίδα μας:
Για τις παθήσεις θυρεοειδούς
Για τις παθήσεις παραθυρεοειδών
Τι είναι ο χειρουργός θυρεοειδούς – παραθυρεοειδών?
Τι σημασία έχει η εμπειρία του χειρουργού στην αντιμετώπιση των παθήσεων θυρεοειδούς και παραθυρεοειδών?
ΘΑ ΜΑΣ ΒΡΕΙΤΕ
ΕΥΓΕΝΙΔΕΙΟ-Παπαδιαμαντοπούλου 20 (Ιλίσια)
ΙΑΤΡΙΚΟ ΨΥΧΙΚΟΥ – Άντερσεν 5 (Νέο Ψυχικό)
ΜΗΤΕΡΑ- Ερυθρού Σταυρού 5 (Μαρούσι)
ΤΗΛ. 2107487318 & 6977068223
email: georgesakorafas@yahoo.com
1
Αξονική τομογραφία – τοπόγραμμα. Εμφανής η απώθηση – απόκλιση της τραχείας (κόκκινο βέλος) προς τα δεξιά λόγω πίεσής της από τον διογκωμένο καταδυόμενο αριστερό λοβό.
2
Αξονική τομογραφία – απεικόνιση σε κατά μέτωπο διατομή. Εμφανής η μεγάλου βαθμού διόγκωση και η κατάδυση σε βάθος του αριστερού λοβού (κίτρινο βέλος), που φθάνει στις παρυφές του αορτικού τόξου (πράσινο βέλος), με την τραχεία (κόκκινο βέλος) να απωθείται προς τα δεξιά από τον διογκωμένο αριστερό λοβό.
3
Καταδυόμενη βρογχοκήλη με κατάδυση σε βάθος στο θώρακα – εικόνα στην αξονική τομογραφία (κατά μέτωπο διατομή, σε άλλο επίπεδο). Εμφανής η μεγάλου βαθμού διόγκωση και η κατάδυση σε βάθος του αριστερού λοβού (κίτρινο βέλος), που φθάνει στις παρυφές του αορτικού τόξου (πράσινο βέλος), με την τραχεία (κόκκινο βέλος) να απωθείται προς τα δεξιά από τον διογκωμένο αριστερό λοβό. Ο καταδυόμενος αριστερός λοβός φθάνει σε βάθος λίγο πιο πάνω από τον διχασμό της τραχείας στους δύο στελεχιαίους βρόγχους.
4
Αξονική τομογραφία – εικόνα σε διατομή κατά το προσθιοπίσθιο επίπεδο. Και στη διατομή αυτή φαίνεται η βαθιά κατάδυση του αριστερού λοβού (κίτρινο βέλος), που φθάνει στο άνω όριο του αορτικού τόξου (πράσινο βέλος).
5
Αξονική τομογραφία – εγκάρσια διατομή. Ο διογκωμένος αριστερός λοβός (κίτρινο βέλος) που απωθεί την τραχεία (κόκκινο βέλος) προς τα δεξιά.
6
Αξονική τομογραφία – εγκάρσια διατομή σε χαμηλότερο επίπεδο. Ο διογκωμένος αριστερός λοβός (κίτρινο βέλος) που απωθεί την τραχεία (κόκκινο βέλος) προς τα δεξιά.
7.
Αξονική τομογραφία – εγκάρσια διατομή σε ακόμη χαμηλότερο επίπεδο. Ο διογκωμένος αριστερός λοβός (κίτρινο βέλος) που απωθεί την τραχεία (κόκκινο βέλος) προς τα δεξιά.
8
Αξονική τομογραφία – εγκάρσια διατομή σε ακόμη πιο χαμηλό επίπεδο. Ο διογκωμένος αριστερός λοβός (κίτρινο βέλος) που απωθεί την τραχεία (κόκκινο βέλος) προς τα δεξιά.
9
Χειρουργικό παρασκεύασμα. Στο ένθετο της εικόνας (κάτω αριστερά) είναι σχεδιασμένος υπό κλίμακα ένας θυρεοειδής φυσιολογικών διαστάσεων για λόγους σύγκρισης του μεγέθους. Εμφανής η διόγκωση του θυρεοειδούς του ασθενούς και ιδιαίτερα του αριστερού λοβού. Με τις διακεκομμένες μαύρες γραμμές απεικονίζεται σχηματικά η θέση των δύο κλειδών. Το μέρος του θυρεοειδούς που βρίσκεται κάτωθεν των γραμμών αυτών αντιστοιχεί στο καταδυόμενό του μέρος.
καταδυόμενη βρογχοκήλη καταδυόμενη βρογχοκήλη καταδυόμενη βρογχοκήλη καταδυόμενη βρογχοκήλη
καταδυόμενη βρογχοκήλη καταδυόμενη βρογχοκήλη καταδυόμενη βρογχοκήλη καταδυόμενη βρογχοκήλη
καταδυόμενη βρογχοκήλη καταδυόμενη βρογχοκήλη καταδυόμενη βρογχοκήλη καταδυόμενη βρογχοκήλη
καταδυόμενη βρογχοκήλη καταδυόμενη βρογχοκήλη καταδυόμενη βρογχοκήλη καταδυόμενη βρογχοκήλη